脑膜瘤术后放疗
在脑膜瘤的治疗路上,很多患者和家属在手术后心里总会萦绕着这几个问题:“要不要再做放疗?”“肿瘤会不会卷土重来?”“万一真的复发了,我们又该怎么办?”

那么,手术之后,放疗是不是每个人都必须迈出的一步呢?
答案是:不一定!
目前,手术仍然是应对大多数脑膜瘤的首选方式——尤其当肿瘤体积较大、生长较快,或者已经引发症状时,医生通常会建议手术,目标是尽可能地彻底切除。
有些患者会想:“既然手术已经切得很干净,如果再加上放疗,不就是’双保险’了吗?这样应该更不容易复发吧!”
但……事实果真如此吗?
其实,术后是否需要放疗,并不是简单“多加一道防线”就能决定的。手术之后,病理活检结果会告诉我们肿瘤的具体类型和分级,而是否进行放疗,恰恰取决于这个分级、切除的范围是否彻底,以及每个人的具体情况。
1级脑膜瘤全切VS不全切
完全切除的1级脑膜瘤
此类患者无需进一步治疗,但应接受连续影像学检查以监测有无复发。复发风险取决于切除部位和切除程度。


基于WHO分级、切除程度,治疗概要。MRI:磁共振成像;SRS:立体定向放射外科;fRT:分次外照射放疗;GTR:全切除;STR:次全切除。
50岁的方女士曾因偏头痛查出脑膜瘤,一度陷入绝望——肿瘤位于左侧鞍旁、左侧CPA及小脑幕下缘,病情复杂。然而,她积极寻求治疗,最终由INC巴特朗菲教授主刀,成功实现了肿瘤全切。术后病理为1级脑膜瘤,无需放疗。如今距手术已近两年,方女士生活潇洒自如,不仅常伴家人左右,更四处旅行享受生活,重拾生命的美好。


未完全切除的1级脑膜瘤
这类肿瘤的进展风险高于完全切除的肿瘤,术后放疗决策因人而异,取决于残余肿瘤的位置及引起的持续性症状、患者年龄和进展相关潜在并发症。
辅助放疗确实可以改善局部控制,但许多患者在术后不会复发或只会缓慢进展,因此可以避免立即放疗的潜在并发症。因此,与更高级别的脑膜瘤相比,对1级脑膜瘤行部分切除术后,可更有选择性地运用辅助放疗。
2级和3级脑膜瘤辅助放疗又该如何选择?
非典型脑膜瘤的复发率处于良性脑膜瘤和恶性脑膜瘤之间,如果出现肿瘤进展或多次复发,总生存期会更短。
如果不完全切除,残留过多或仅行活检,辅助放疗可以阻止或延缓残余肿瘤进一步生长,引发相关症状,并可能提高生存率。
如果完全切除,辅助放疗的作用尚存争议。需要明确的是,尽管辅助放疗可能会阻止或延缓肿瘤复发,但也有风险和副作用,需要非常仔细地权衡利弊。
赵女士所患的鞍区脑膜瘤位置复杂——肿瘤向前上方推挤视交叉,向前下方压迫垂体柄,向后方压迫脑干,并与动眼神经、滑车神经、三叉神经紧密相邻,同时毗邻颈内动脉及基底动脉系统。面对如此复杂的手术挑战,INC福教授在术中借助“显微镜+神经内镜”双镜联合技术,在完好保留听力、面神经等重要功能的前提下,成功实现了肿瘤的精准切除。术后病理虽提示为2级,但因切除满意,福教授在随访中建议无需放疗,仅需定期复查即可。


恶性脑膜瘤是局部侵袭性肿瘤,即使肉眼下全切后,复发率或进展率仍非常高。因此,为了改善局部控制情况和总生存期,无论切除程度如何,都应将辅助放疗。
为了延缓复发可以盲目放疗吗?
放疗就像一把双刃剑——它可能为你争取到控制病情的宝贵时间,却也悄悄埋下风险的种子。其中“放射性脑坏死”就是一种非常严重的并发症。它可能在放疗后1-3年内突然出现,有的患者在十年后才出现。
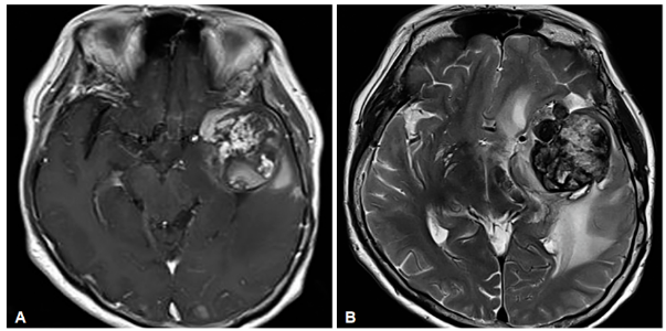
一位72岁的脑膜瘤患者就经历了这样的艰难历程。她在手术后又接受了放疗,本以为能控制住病情,却没想到多年后,一个4.3厘米的肿块伴随着严重脑水肿突然出现。经过详细检查,医生们得出了一个令人唏嘘的结论:这不是肿瘤复发,而是放疗引发的海绵状血管瘤。
这种被称为RICH(放疗诱发海绵状血管瘤)的病变,本质上是放疗对脑血管造成的晚期损伤。更让人心痛的是,研究表明:患者接受放疗时越年轻,发生这种并发症的风险就越高。

图1:放射诱发海绵状血管瘤(RICH)的影像学表现。
总结:
1、1级脑膜瘤全切术后无需放疗;
2、对于残留过多或活检的2级脑膜瘤术后应放疗,全切患者可权衡放疗利弊做出选择;
3、3级恶性脑膜瘤,无论手术切除程度如何,都需辅助放疗。


