近几年,各种小儿脑瘤病例好似越来越多,这让我们不禁感叹,不管怎样的温柔呵护下,孩子天使般的娇嫩生命,不知不觉就会面临着死亡“魔鬼”的各种威胁。
然而值得庆幸的是,随着现代医学的进步,尤其对于肿瘤生物学特性有了更清晰的认知,关于神经外科的治疗也越来越广泛。脑肿瘤的综合治疗也得到了更深入的发展。通过在手术治疗和综合治疗两个领域不断创新发展,持续推动治疗效果提升,最终实现长期控制该疾病进展的目标。
“治愈儿童脑瘤,有可能有希望”
国际儿童神外大咖如何攻克儿童脑瘤难题
“治愈儿童脑瘤,有可能有希望!挑战固然存在,随着肿瘤研究的深入和治疗技术的快速发展和完善,通过科学治疗,孩子们将得到越来越好的治疗!”——INC国际神经外科医生集团旗下世界神经外科顾问团成员James Rutka教授曾在他的一次TED演讲中如是说。而现如今哪怕是DIPG这类难以治愈的儿童脑瘤疾病,像Rutka教授一样的奋斗在前沿的医学工作者们,依然做着无数新的尝试,希望给这些绝望的患儿和家庭带来希望。

James T.Rutka教授对胶质瘤、纤维瘤、颅咽管瘤、室管膜瘤具有多年的临床经验,擅长激光间质热疗(LITT)、清醒开颅术及显微手术。目前的研究重点为儿童脑瘤和癫痫的外科治疗。
▼WORLD NEUROSURGERY评选出的世界着名的100位神经外科医生中,Rutka教授就是其中一位重量级的教授。

WORLD NEUROSURGERY评选(INC国际神经外科医生集团旗下组织世界神经外科顾问团成员入选的还有高难度中央颅底手术Dolenc入路创始人Vinko Dolenc教授(1940-2025)、世界神经外科联合会终身荣誉主席Takeshi kawase教授、世界立体定向与功能神经外科学会主席Joachim Krauss教授等……)
小儿胶质瘤复发了怎么办?还能手术吗?有什么前沿的综合治疗方案?Rutka教授在接受INC独家专访时这样回答:
近年来由James T.Rutka教授领衔的脑瘤实验室在研究脑肿瘤生长和侵袭的机制方面颇有成就,并在Sunnybrook健康科学中心和多伦多大学生物材料和生物医学工程研究所的合作下,正在设计一种基于纳米颗粒的输送系统,作为治疗胶质瘤的一种新方法。2023年1月10日,他们已完成世界首例磁共振引导聚焦超声(MRgFUS)为儿童脑肿瘤提供化疗。作为儿童肿瘤安全性和可行性临床试验的一部分,首例儿科患者最近成功地接受了该手术。目前该项目正在向全球患儿招募临床试验对象。


Rutka教授演示低强度聚焦超声利用声波的力量暂时打开血脑屏障。图片来源:Sunnybrook健康科学中心
James T.Rutka教授在儿科外科手术、脑瘤分子生物学、癫痫手术和外科手术教育杂志上发表了逾500篇文章。他还与神经外科知名专家合着以及修订教材级别书籍,对神经外科领域的发展做出重大的贡献,且在2013年担任世界神经外科知名杂志《Journal of Neurosurgery》主编,对神经外科医生的研究具有指导性作用。

James T.Rutka教授的儿童脑瘤综合治疗案例精选
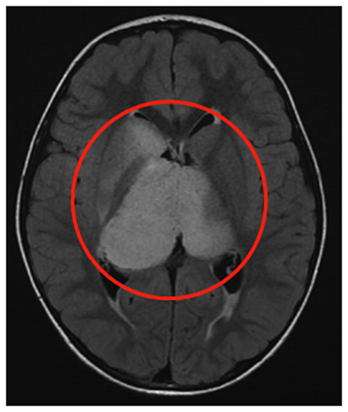
3岁患儿-丘脑病变伴钙化
3岁患儿因呕吐和巨脑畸形就医。CT及MRI显示右侧丘脑病变伴钙化及后三脑室梗阻,引起脑积水(图1)。

(图1)
在8岁、11岁和13岁时,James T.Rutka教授成功地利用第三脑室内窥镜切开术治疗脑积水(图2为系列影像),且影像显示肿瘤增大和多发肿瘤囊肿(箭头状),并逐渐出现左上肢震颤。

(图2)
患儿在13岁时进行了神经导航和超声引导下的活检,证实为脑瘤为WHO I级,毛细胞星形细胞瘤。肿瘤囊肿持续扩大(图3),患儿发展为急性偏瘫。

(图3)
示同侧内囊(负责人体肢体运动)前外侧移位(箭头)(图4)。超声引导下将Ommaya导管和储层插入肿瘤囊性部分。

(图4)
术后MRI显示囊性占位接触,脑室慢慢恢复正常。(图5j)四个月后,由于患儿的偏瘫没有改善,Rutka教授为其行经胼胝体半球间入路及肿瘤次全切除术。
术后影像(图5),术后患儿偏瘫改善,患儿生长和智力发育正常,近期随访显示脑瘤未复发。免疫组化检测RAFV600E突变免疫无阳性,H3K27M阴性。

(图5)
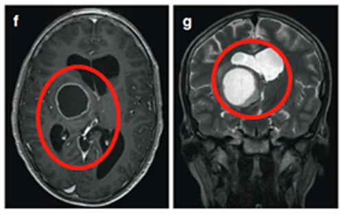
9岁男孩-丘脑结节肿瘤
患者为一名9岁男童,左面部、上肢和下肢有3周的急性病史,持续轻微口齿不清三个月以上。他还有多处咖啡色的斑点和腋窝雀斑。被诊断患有注意缺陷多动障碍,这些症状可以归因于器质性病因。
(图6a、b)轴位MRI造影剂及冠状面T2-WI显示一个环形增强的右侧丘脑结节肿瘤。

(图6)
肿瘤累及内侧颞结构(图6c),Rutka教授考虑根据其病情进展制定综合治疗方案,先行经颞中回经脑室入路次全切除肿瘤,组织学为WHO I级毛细胞星形细胞瘤,BRAF重复融合状态为阴性。免疫组化检测BRAF V600E、H3K27M阴性。基因测试证实了NF1基因的变异。术后严密随访患儿术后情况。
(图7)六个月后的影像显示丘脑部分切除和中脑的小肿瘤残留,因此,Rutka教授根据其病情发展量身定制辅助治疗计划,患儿对放疗反应良好。

(图7)
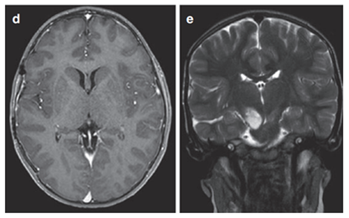
6岁男孩-WHO III级间变性星形细胞瘤
患者是一名6岁男童,症状为头痛、间歇性左上肢震颤。MRI(FLAIR序列)显示一个两侧丘脑肿瘤,右比左大,尾状核的右头部也参与其中。脑室轻度增大,膈膜水肿,肿瘤内部囊肿。因此,Rutka教授为其先行左额部内窥镜活检和鼻中隔造瘘术,再行左枕脑室-腹腔分流术。

(图8)
组织病理诊断为WHO III级间变性星形细胞瘤,H3K27M、p53、BRAF V600E突变免疫阴性。MIB-1增殖指数为40%。至此,Rutka教授为患儿制定了周密的综合治疗方案,患儿开始同时接受替莫唑胺(TMZ)和放射治疗(59.4 Gy),并接受累计剂量为200 mg/m2的12个周期的持续替莫唑胺治疗。该男孩在确诊后15个月放射学表现稳定,症状也得以缓解,生活质量有所提升。
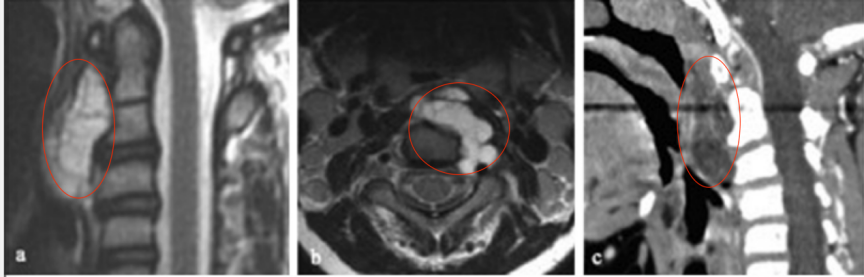
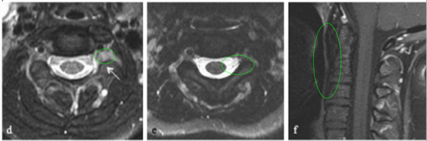
10岁男孩-C1-C3嵴索瘤
10岁的患儿总是感到头晕颈痛,伴有复发性咽喉感染和吞咽困难,被诊断出患有C1-C3嵴索瘤伴上唿吸道压迫后,她的父母开始搜集擅于治疗小儿脑瘤的专家并考察其所在的医院,事关孩子的第一次手术,再怎样谨慎都不过分。他们阅读了大量杂志和资料,最后将希望寄托在James T.Rutka教授身上,他们相信这位曾因为儿童健康做出重大贡献而被授予“国际微笑勋章”的专家一定不会令其失望,慕名求诊于Rutka教授所在的SickKids医院,患儿在这里接受了详细的病情评估、周详的治疗计划后,教授为其经口、经腭、经下颌入路行次全切除术。

【图2(a)术前MR及CT显示,C1-3占位,提示嵴索瘤可能】
术后影像显示,经次全切术后左侧C2-C3神经孔有残留病变,于是教授及其团队为其执行综合治疗方案,并且制定了专属个性化放疗计划,结果显示她对70gy光子放疗反应良好,幸运的是,她的耐受性也很好,治疗顺利,放疗后残留病变明显变小,也无明显放疗副作用。

【图3术后MR显示肿瘤切除达95%以上,C2-C3神经孔内有小残留肿瘤(d,如箭头所示)】
有论文称:在1973年至2014年的808例原发性嵴索瘤患者的数据显示,嵴索瘤5年生存率为68.4%,10年生存率为39.2%。令人振奋的是,案例中的这名患儿于2005年接受了Rutka教授团队的切除手术和综合治疗,10年后病情仍未复发,也没有出现神经功能缺陷。



