听神经瘤是一种良性、生长缓慢的肿瘤,起源于连接大脑和内耳的耳道。这种类型的肿瘤的其他名称包括“前庭神经鞘瘤”和“神经鞘瘤”。由于未知的原因,这些细胞(被称为“雪旺细胞”)不受控制地繁殖并形成肿瘤。较终,更大的肿瘤可能压迫脑干等重要部位,严重威胁患者的生命顺利。

图片来源:
https://www.mayoclinic.org/
在其早期阶段,听神经瘤可表现出与其他不太严重的症状相似。其中,耳鸣便是听神经瘤早期的常见症状和经典症状,但不是耳鸣就是听神经瘤作怪,耳鸣的原因有多种,听神经瘤只是引起耳鸣的原因之一。那么,耳鸣如何排除听神经瘤?
听神经瘤引起的耳鸣具有持续性
耳鸣如何排除听神经瘤?INC国际神经外科医生集团旗下国际神经外科顾问团(WANG)成员、国际神经外科学院前院长James T.Rutka教授表示,一般而言,听神经瘤患者的耳鸣表现为高调性、持续性耳鸣,通常会被患者描述为汽笛样、哨声、蝉鸣样或者火车声一样的耳鸣。有的时候经过一段时间,耳鸣会自行消退,但是仍然以其存在为主。
更重要的特点是,除了耳鸣之外,患者往往会出现渐进性加重的单侧听力减退。除此之外,还可以有眩晕、眼球震颤、小脑性共济失调、面部感觉障碍、面瘫等一系列的表现,这种情况需要考虑听神经瘤。
未经治疗的听神经瘤可能是致命的
听神经瘤通常是良性的,但如果不及时治疗仍然是致命的。这是因为肿瘤会继续生长。一旦它体积增长到足够大,在连接内耳和大脑的小管中耗尽空间,它就开始进入头骨腔。

大脑底部的组织,包括一种叫做脑干的结构,可能会被生长中的肿瘤压扁。这会导致脑脊液(CSF)的积聚。脑干负责调节重要的身体功能,包括意识、心率、呼吸、血压和吞咽。当脑干严重被压迫时,患者较终会发生生命危险。
听神经瘤的诊断
肿瘤越早被发现和治疗,痊愈的机会就越大。听神经瘤可以通过多种测试进行诊断,包括:
1、计算机断层扫描(CT):这是一种专门拍摄内耳三维图像的x射线。然而,这种方法可能会漏掉小肿瘤。
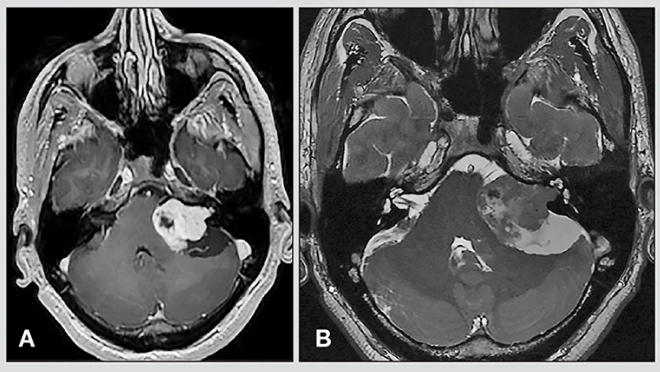
2、磁共振成像(MRI)扫描:利用强磁场中的无线电波而不是x射线拍摄内耳图像。MRI扫描通常能比CT扫描发现更小的听神经瘤。可以注射一种染料来进一步突出被检查的组织。
听神经瘤的治疗
对于小肿瘤,医生可能会建议完全不采取任何行动,除了定期检查。这是由于听神经瘤通常生长缓慢,因此不需要立即干预。对于小的、无症状的肿瘤患者、老年患者和有严重医疗问题的患者,采用保守的方法进行观察,包括连续的MRI研究,可能是合理的。但随着听神经瘤的不断增长,较后通常还是需要治疗。
治疗的选择可能包括手术和放疗:
在手术显微镜出现之前,听神经瘤的手术仅限于切除肿瘤,由于无法将肿瘤与脑神经分离,常导致听力丧失或面瘫。随着手术显微镜和内窥镜的引入,在保留面神经的同时切除或缩小听神经瘤成为可能。今天,随着前沿的显微外科手术和立体定向放射外科技术的发展,在保留面部运动、听力和其他功能的同时,切除或减少听神经瘤变得越来越可能。
1、显微外科手术:手术是大多数听神经瘤的优选治疗方法,因为它提供了良好的功能保留和长期效果。手术可以用在任何大小的肿瘤上,而且通常是压迫关键结构的较大肿瘤的选择。移除听神经瘤的手术细致,可能需要几个小时,甚至一整能完成。保留听力和面部功能的听神经瘤手术对医生的经验和技术要求是更高的,目前在国际上国际颅底肿瘤手术教授巴特朗菲教授、国际神经外科学院前院长James T.Rutka教授是听神经瘤手术专家,其手术不仅切除率高,其高超的手术技术和丰富的经验通常能为患者保留功能。
2、立体定向放射外科:神经外科医生可以在特定病例中使用立体定向放射外科(从多个角度对肿瘤进行高度定向放射治疗)来治疗听神经瘤,包括那些可能无法耐受手术的患者和那些肿瘤较小的患者。放射外科不是全部肿瘤的选择,它可能不能治疗肿瘤引起的一些症状;然而,在经过精心挑选的患者中,放射外科手术可以在预防肿瘤生长和保留功能方面提供良好的结果。
较后,INC国际神经外科提醒:即使耳鸣是听神经瘤引起的,患者也不要着急和恐惧,只要及时进行治疗,在当今的医疗技术下,患者通常能得到较好的预后,在国际手术教授下,患者恢复正常生活也是大有可能的。


