“(手术)过了一天以后就正常了,就不用人扶了,自己下地了”
“巴教授说三个月肯定能恢复,我术后果真三个月恢复到跟以前一样。”
“我现在已经恢复的跟正常人一样了,
我可以回归到我以前想要的那种生活,不要再过那种提心吊胆的日子了”
……
23岁的大男孩阿豪,在脑干海绵状血管瘤顺利全切手术后5个月曾接受了INC专访,成功手术后的他,一句句诉说着重获新生后的喜悦。
2021年,因为持续数日的头晕、乏力、睡眠质量下降呕吐,阿豪就医检查,本以为就是一次简单的小毛病。
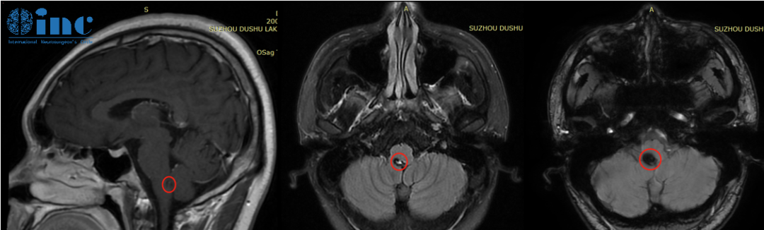
但是却不想竟是“生命中枢”——脑干上出了问题。头部CT显示延髓后方近小脑见大小约6.8*9.9mm的片状高密度阴影,怀疑脑干海绵状血管瘤。

因为脑干上这颗“不定时炸弹”四处求医,然而得到了答案却总是可以手术但是风险很大、建议保守治疗。脑干海绵状血管瘤像一团阴云,一点点遮挡住生命中的阳光……
脑干海绵状血管瘤肿瘤很小需要手术吗?
脑干再次出血的几率大吗?
手术后能不能治愈吗?
手术后还能恢复正常人生活吗?
手术后还会复发吗?复发的概率有多大?
他们对于这个很多人告知动不了刀的病,有着无数的疑惑,而他们也一直在寻找着能解答这些疑惑的医生。
PART.01
黑暗中寻觅
病友群、小红书、QQ群,他们希望尽快找到答案……
2023年3月,国际脑干手术教授——INC巴特朗菲教授来华进行示范手术的消息在病友圈传开,阿豪和家人也看到了。

300多例脑干海绵状成功案例、上千例脑干肿瘤成功案例、专研脑干手术40余年……越了解巴教授,阿豪一家越觉得这就是能回答那些心中疑问的医生。于是和家人商议后,一家人果断拨通了INC联系电话,打算直接面对面咨询这位脑干手术教授、“欧洲”。

PART.02
寻得光亮
2023年3月26日,安豪和家人来到INC国内合作医院苏州独墅湖医院巴教授咨询办公室,一场和国际脑干手术教授的面对面咨询正在展开……
阿豪:我的脑干海绵状血管瘤需要手术吗?
巴教授:目前来看手术是可行的,但是并不是需的。如果手术的话自己可以替他切除这颗位于脑干-延髓位置的海绵状血管瘤,且由于病灶位于延髓外侧,手术难度并不大,自己有过很多更难的成功手术案例。当然也可以暂时不选择手术进行保守治疗,但是这样就会有大约5%再次出血的概率,脑干反复出血后症状会一次比一次重,造成的神经功能损伤是不可逆的,治疗时机则会直接影响患者预后。
阿豪:那手术风险大吗?
巴教授:“就在昨天我做了一个比这个大两到三倍的脑干海绵状血管瘤,病人现在情况很好。”
阿豪:术后还会复发吗?复发的概率大概是多少?
巴教授:“不会再复发,手术复发的概率大概在千分之一,低”

巴教授在纸上写下复发概率1:1000
“面对面的跟巴教授交流是比较好的。而且我也特别想见一见‘’。我看到巴教授的时候他整个人特别和蔼,跟人交流很有礼貌的那种。”
细致却不失的回答、巴教授给了阿豪一家患病以来从未有过的顺利感。
“当时巴教授跟我讲的这个后遗症是我能接受的,不像某一些医院给的后遗症是特别吓人的”
而此时是继续保守还是选择接受手术,这个选择也再次摆在了年轻的阿豪面前。
虽然只有很小的出血风险,但是他知道还没展开的人生画卷担不起这一点点风险,对于他对于爱他的家人,这都是难以承受的。年轻男孩面对着国际脑干手术教授巴特朗菲教授一个个准确而自信的回答,再次坚定了手术的决心。
PART.03
“全切全切”——顺利手术了
“全切全切了!”在国内手术团队的配合下,术中神经电生理监测下,巴教授全程主刀顺利全切了安豪的脑干海绵状血管瘤。

而在术后住院的日子里,巴教授也会亲自来到病房查看阿豪的情况。而术后的恢复也比他想象中的更快,“拔完监护仪这些都下地走路了,都不用家属扶着”。术后9天,病房里的他已经能够自由活动,脸上带着这个年纪大男孩开朗阳光的笑容。看着前来查房的偶像,阿豪拿出笔记本,上面写着自己关于术后的疑问。”术后多久可以跑步呢?“热爱运动的他问巴教授,巴教授回答大概一个月以后能恢复运动,一步一步来会恢复到正常生活的。
PART.04
新生——恢复正常人生活
“我现在已经恢复的跟正常人一样了,我可以回归到我以前想要的那种生活,不要再过那种提心吊胆的日子了”
二十出头的年纪,大多都是听从家里人的意见。而阿豪面临对人生影响深远的抉择时,毫不犹豫,当机立断。“我还是想手术的”。
成功手术后,关于脑干海绵状血管瘤的治疗,阿豪也给出了自己的建议
有两个和我同样部位的海绵状血管瘤,他们都是巴教授手术的,我也跟他们见面交流过,他们术后跟正常人一模一样,也是他们给了我很大的信心,我才坚定要手术的,决定找巴教授手术的。这个东西是良性的,不像癌症,这个是可以通过手术治疗来达到恢复的,不用那么担心,只要平时注重规律生活就行。
案例后记
少年时,总期待着长大后追逐梦想;可现实因种种原因,或许无法去践行。但只要有一个乐观的心态,哪怕面临任何困境,一样可以用勇气战胜疾病,踏遍千山万水。23岁脑干海绵状血管瘤患者阿豪用实际行动证明,经历"生命禁区"脑干开颅手术后也可以做到“神采飞扬”。术后阿豪重启大学之旅,每一步都是积攒活着的乐趣,相对于大多数普通人,更加弥足珍贵。
脑干长期被视为“手术禁区”,即使显微神经外科技术、术中辅助技术发展及脑干安,全区的发现,直到如今依然有少数术者有较多成功的手术报导。综合其近400台脑干海绵状血管瘤成功手术经验,INC巴教授对脑干海绵状血管瘤手术治疗经验要点总结如下:
1、临床症状严重提示有手术指征;
2、偶然发现的(静态的,无临床表现,无出血)海绵状血管瘤暂时不需要手术治疗;
3、在进展恶化快的病人中,紧急手术切除肿瘤是有益的,相当于抢救性手术;
4、有很多手术入路是可以选择的,但较短到达肿瘤的手术路径并不是较好的手术入路选择;有的较长的入路在特定情况下对功能的保护是很好的;
5、根据巴教授手术的患者,90%以上的患者可以达到良好或较好的预后;
6、再发出血的患者应该再次手术。


