在儿童医院,除了走廊大厅,最热闹的或许是小儿病房。

这里的患者除了大孩子外,还有低龄幼儿,但他们也是最好安抚的病人,有时只需要一辆小汽车、一个棒棒糖……
在INC,我们认识了很多自信又乐观的小朋友。
“巴爷爷来看你了,叫巴爷爷……”
“巴爷爷!”

今天我们要认识的是6岁男孩天天。
那个在2020年以前一直无忧无虑、健康成长的小男孩,有着各种各样梦想的男孩。
当肿瘤侵占他的大脑时,他还未开启的人生却遭遇了苦难。
但这不是一个忧伤的故事,大脑里的肿瘤并没有打倒他,一切都是新的开始。

鲜为人知的“肿瘤怪兽”
2020年初,年仅4岁的天天开始出现了些异常的症状。
父母注意到,一向吃嘛嘛香的他在吃饭时出现呕吐。“可能只是受凉了”,他们并没有太过在意。
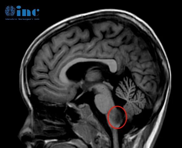
一次意外摔倒受伤,天天在父母的陪同下在当地医院就医,诊断结果显示:脑干占位性病变。

术前核磁影像
一家人都懵了,本以为只是个很简单的小问题,完全没有心理准备。
这时他们才反应过来前几个月孩子出现的无端呕吐可能就是肿瘤压迫到脑组织引发的症状。
“如果当初我们早点重视孩子这个症状就好了……”
当确诊自家的孩子得了脑肿瘤,很多家长总是这样后悔不迭。
很多患者都是在偶然情况下或者出现明显的症状如肢体瘫痪、视力下降、肿瘤很大时才医院就诊。
最终可能错过了黄金治疗时间,或治疗选择有限从而降低生存期和生活质量。
那么,哪些症状提示儿童脑肿瘤?
1.头痛和呕吐,如果它们同时出现,在晨起时反复发作就应该引起家长的重视。尤其是伴随以下症状:定向障碍或意识模糊、协调能力异常、运动功能异常或眼球活动异常。但是,在胃肠炎患儿中,则无需过度关注头痛和呕吐。
2.癫痫和抽搐,除了高热惊厥之外的非局灶性癫痫发作或抽搐以及新发抽搐尤其令人担忧。
3.内分泌变化,生长异常,发育停滞,新陈代谢的改变或者饮水量和排尿量的增加。
4.视力变化,任何新出现的、并且无法通过佩戴眼镜矫正的视力变化,比如视敏度下降,复视(重影)和视野变化。
5.行为变化,包括被父母、老师和心理健康专业人员发现的学习表现异常。
6.斜颈或任何异常头部姿势:也可能是神经系统症状。
如何确诊儿童脑肿瘤?
检查和确诊小儿脑肿瘤很重要的检查手段是头颅MRI和CT,对判断肿瘤的起源、分期、分级和指导治疗方案有重要意义。
治疗的关键是什么?
1、手术是儿童脑肿瘤治疗中重要的一环。
绝大多数脑瘤应该在安全的前提下尽量全切肿瘤,不能切除的,也可以通过手术取样活检。
2、对于儿童脑肿瘤患者来说,化疗和放疗也是改善预后的重要疗法。
不过考虑到放疗对神经系统发育的影响,一般3岁以上的孩子才会进行脑肿瘤的放疗。
3、对于一些DIPG等儿童恶性脑瘤,近几年也有一些新疗法的出现。当然,有的新疗法仍在临床试验阶段,要为脑瘤患儿需要谨慎选择。
“不能等!趁着目前还没有出现更严重的症状必须尽早手术”
占位所处位置在人体的“生命中枢”脑干-延髓之上,延髓控制着人体的吞咽、呼吸等基本功能。

一旦等待肿瘤长大,占位效应会更加明显,年幼的天天可能会出现更严重的症状。
天天爸妈决定要为孩子手术
然而延髓手术的风险巨大,想要尽可能切除肿瘤又不伤及正常的脑组织,对于主刀医生的技术要求非常高。
而在世界范围内,能够成功手术的医生非常稀少。
2020年8月18日,第一次国内手术,只切除了一部分的肿瘤组织。
幸运的是,术后的病理结果显示为毛细胞型星形细胞瘤,这是一种预后良好的肿瘤,如果全切能够达到“治愈”的效果。
这给了他们巨大的信心,一家人心里瞬间充满了希望。
要治,要让儿子健康地活下来,活下去!
2022年08月25,常规核磁复查,结果提示肿瘤进展,延髓右部不规则肿胀范围约2.6cmX2.5cmX2.3cm。

“剩下的肿瘤无法手术,风险太大、建议化疗。”
天天父母马上紧张了起来,他们必须要做出一个选择,天天的情况并不乐观。
但年幼的孩子,可以承受化疗带来的诸多副作用吗?
不要放弃任何希望,寻求更大手术机会
小小年纪,天天的这些经历,却比一个成年人还要多得多。
寻求已久、等待已久,天天终于等来了这台拯救生命的手术。
这次手术,他们找到了世界脑干手术大咖——巴特朗菲教授。
“手术对男孩来说是有益的,(手术的)目的是完全切除肿瘤”。

巴教授远程邮件咨询回复
这样的回复,让他们决定再次手术。
成功手术:黎明前的黑暗够长、光明才够耀眼
2022年11月23日,手术如期进行。
手术室外,一家人揪心地等待着,手术室内,巴教授正高度集中地对天天的肿瘤进行切除。
巴教授近全切天天的脑干-延髓毛细胞星形细胞瘤。
2次全麻开颅手术,很难想象这对于年幼的孩子意味着什么。
天天是一个遭遇困境,但勇敢坚强,最终战胜疾病的孩子。
当再次看到天天双手点赞的时候,我们都清楚,这场战争,我们获得胜利。6岁的生命,就这样被重新开启。
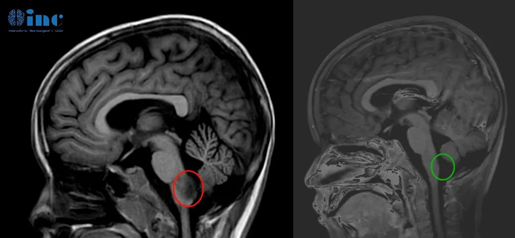
▼天天术前术后影像对比

术后第三天查房交流清晰、肢体抓握能力正常、术后呼吸吞咽正常,食欲正常,已经可以正常吃饭进食。
住院期间,在父母的陪伴下,天天仍一直蓬勃地成长,用力地长大。在我们的镜头下,他很少哭,非常懂事,好像他什么都知道一样。
术后两个多月,天天正常回归学校。我们应该心怀希望,相信医疗,相信未来,相信奇迹。
天天,欢迎回来!
孩子得了脑肿瘤,家长该怎么办?
1、早发现早诊断早治疗
对于儿童脑肿瘤的一些早期症状人们需要警惕,比如头痛、恶心、呕吐、视力改变等。日常生活中当出现脑肿瘤相关症状应及时到医院就诊,可选择相关的检查如颅脑CT或MRI。也可能就会需要做进一步检查,如MRS(磁共振波谱分析)和PET(正电子发射计算机断层显像),这些检查可以提供给医生更多肿瘤信息,有利于脑干肿瘤的诊断和治疗,早发现早诊断早治疗可及时采取治疗措施遏制肿瘤进展。
2、查阅资料、获取意见及正确就医
家长可以通过网络、论坛、病友群等多种渠道查阅资料,了解清楚所患疾病的治疗指南以及国内、外该疾病的诊疗水平,了解主治医生的主攻方向,比如同样是神经外科,却有很多亚专科方向甚至病种研究范围的不同,不能大而论之就盲目追求“名医”“名院”效应,神外是高精尖手术学科,很多医生所擅长的手术有所不同。
3、重视首次手术全切
对于很多儿童脑肿瘤,一般国内外的标准治疗规范都以手术全切为一线治疗方案,手术全切则可为后续的放化疗打下良好的基础,助益患者的整体治疗效果。尤其是当肿瘤邻近或位于脑干、丘脑、胼胝体、基底节区等复杂位置,首次手术全切切除程度将直接决定着后续的生活质量乃至生存周期。
4、在世界范围内寻求更多的治疗机会
孩子得了脑肿瘤,尤其是位置复杂难于手术时,可以考虑选择一些在这些脑瘤手术或放化疗等方面拥有成熟技术和丰富经验的国际专家,看看他们对于这个疾病怎么治,某种程度上也能帮助患者确认正确的诊断结果、提供多样化的诊疗意见,帮助患者更快地“对症下药”找到适合自己的治疗方案,从而避免了徘徊犹豫期间进行的一些不必要的治疗措施,甚至是不可逆转的手术,最终可以增加更多的生存机会。建议首先寻求手术的优化,选择医院重在主刀医生的选择,手术医生的能力、技术水平和成功案例。
5、积极心态积极治疗
当孩子被查出脑肿瘤,无需过分焦虑,尤其是像髓母细胞瘤、胶质母细胞瘤这样的恶性脑瘤,了解生存率、中位生存期和预后可能会让你更加恐慌。但需警醒,这些是群体事件中的统计数字,每个人的情况和预后尽不相同,不要轻易放弃希望。你的情况可能会有所不同,对于你的个人预后,决定性因素在于如何有效治疗以及你的生存意愿、健康积极的心态。
注:以上案例供学术交流,不作为个别患者的医学诊疗意见。
如果您也有想要分享的经历或者无法解答的疑惑,欢迎留言或者在后台私信我们吧……


