一次寻常的午睡后莫名头痛,接踵而至的呕吐、眩晕、甚至舌头麻木…谁会想到,这些看似“小毛病”背后,竟潜伏着脑干深处的致命威胁——海绵状血管瘤?
危急时刻,巧遇INC国际脑干手术大咖巴教授来华,一场精准的“拆弹”手术,最终让她成功逃离阴影,重绽笑容。
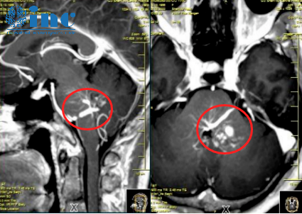
35岁 晓玲 桥脑海绵状血管瘤
病情阶段
35岁的晓玲于一次午睡后突发不明原因双侧太阳穴疼痛,休息后短暂缓解。
次日,症状加重,出现头晕、恶心、行走不稳。
随后一周内,新增左侧舌麻木、左侧面部肌肉僵硬及卧位眩晕等症状。
鉴于病情进展,家人立即送晓玲至当地医院就诊。颅脑CT及MRI检查示:左侧桥脑及第四脑室高密度影,伴右侧小脑陈旧性出血灶。影像学诊断考虑为海绵状血管瘤合并静脉畸形。

咨询INC巴教授,手术顺利全切
家人担忧晓玲随时可能因脑干出血出现严重后果,焦急地四处求医、在病友群求助经验。
适逢巴教授来华进行疑难脑瘤示范手术期间,晓玲家人通过主流媒体报道得知此消息。
经INC咨询并提交病例资料后,巴教授仔细评估晓玲的病情认为“手术时机合适”。反复权衡后,家人决定争取此次示范手术机会。
最终,巴教授在中国团队配合下,顺利为晓玲全切了海绵状血管瘤。

术前,INC巴教授进行了认真细致的准备,与国内的专家共同制定了手术方案。

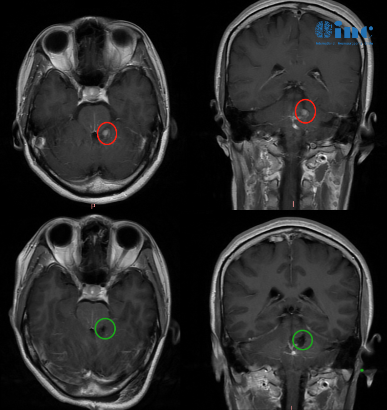
晓玲术前术后影像对比
术后状况
- 术后当天: 手术过程平稳,患者生命体征稳定。
- 术后第2天: 安全转出ICU,无新增神经功能障碍。
- 术后第3天: 巴教授查房,晓玲神志清醒,交流流畅。对于晓玲反馈的复视、指鼻不准等短暂症状,巴教授笃定告知会随时间逐渐恢复。

- 术后第8天: 晓玲精神状态佳。尽管仍有轻微舌麻影响味觉,但复视症状显著好转,巴教授预计2-3周内可完全恢复。
- 术后第11天: 晓玲已能行走自如。复视、指鼻不准等症状大幅改善。
- 术后三个月: 晓玲恢复良好,成功回归正常工作和生活。

晓玲从2022年9月确诊脑干海绵状血管瘤——10月咨询远程巴教授手术——11月在苏州接受巴教授手术,仅仅3个月的时间,这个爱笑的女孩,在巴教授的精湛技艺下终于走出脑干海绵状血管瘤的阴影,满怀信心地继续拥抱健康快乐的未来。
桥脑海绵状血管瘤出血后只能手术治疗吗?
脑干脑桥出血是神经内外科的危重急症,脑桥出血量少时,表现为突然头痛、呕吐、眩晕、复视、四肢瘫痪;出血量大时,患者很快出现意识障碍、针尖样瞳孔、四肢瘫痪、呼吸障碍、高热,常可在48小时内死亡。
其中脑干脑桥海绵状血管瘤是造成出血的常见原因之一,有反复发作性症状性出血的风险,多次发作后会产生毁灭性的后果,对于患者的潜在威胁巨大。很多时候往往只能保守姑息治疗,如果能及时手术切除病变去除病因,那患者往往可以获得治愈性效果。
手术的主要目的是切除病灶去除出血病因,消除反复出血风险,此外,手术还旨在保护颅神经、锥体束功能,避免引起面瘫、肢体瘫痪等,但手术风险却是巨大的!

桥脑海绵状血管瘤病变位置,血管病变不邻接桥脑表面,但它单侧移动周围的固有结构,包括外展神经和面神经。
因为手术中一旦有失,极有可能伤及到神经功能:
- 如果损伤到展神经核,可能会出现斜视;
- 如果损伤到面神经核,可出现面瘫;
- 如果出现三叉神经核损害,可出现损伤侧面部感觉异常;
- 如果损伤到下行神经传导,患者可出现瘫痪、偏瘫等症状;
- 如果导致严重脑干损害,还可能会导致呼吸、心跳改变等。
INC德国巴特朗菲教授为何能做到安全全切?关键是其对这脑干领域的深耕钻研,他专注脑干手术30多年、高达300多例脑干海绵状血管瘤手术案例。并且在以往的研究论文中,根据脑干的解剖及病变的复杂关系总结了手术入路,可选择经髓帆入路、经桥脑臂入路、远外侧入路、小脑上外侧入路、颞下经天幕入路,确保手术顺利。具体的手术入路要根据每个患者的具体情况及主刀医生的医学知识及经验而具体制定。
INC国际脑血管专家巴特朗菲教授
INC国际神经外科医生集团旗下世界神经外科顾问团(WANG)成员、世界神经外科联合会(WFNS)教育与技术委员会前主席巴特朗菲教授,作为德国汉诺威国际神经外科研究院血管神经外科主任,擅长大脑半球病变、脑干病变、脑血管疾病、脑内深层区胶质瘤、颅颈交界处的病变等的肿瘤切除术、神经吻合术以及各种椎管内肿瘤等。

同时,巴特朗菲教授收到过来自欧洲、中东、北非以及日本、中国、韩国、新西兰、南非和智利的40个国家的学术邀请,应邀出席了400多场世界各地的学术会议或在神经外科大会作为特邀发言人,对世界神经外科学科做出重大贡献,特别是颅底外科和显微外科血管病变的脑和脊髓治疗。


