47岁的陈先生在家中突然感到剧烈头痛,随即陷入昏迷。家人紧急送医后,急诊CT检查给出了令人揪心的结果:弥漫性蛛网膜下腔出血(图A),而进一步的血管造影揭开了“真凶”......

CT显示弥漫性蛛网膜下腔出血,左侧脑桥前池增厚明显。
陈先生47岁动脉瘤
病情阶段:
出血后第18天,待陈先生状况稳定后,医生进行了脑血管造影检查(图B)。结果显示,左侧大脑后动脉P1-P2段出现异常扩张伴狭窄——这是夹层动脉瘤的特征表现。
大脑后动脉负责为丘脑、部分颞叶和枕叶供血,这些区域掌管着视觉、记忆等关键功能。而P1-P2段动脉瘤的位置尤其危险,它紧邻脑干和颅神经,如同在生命中枢旁安置了一颗"不定时炸弹"。
夹层动脉瘤比普通囊性动脉瘤更为棘手。它不是简单的血管膨出,而是血管壁内膜撕裂,血液进入血管壁层间形成的假腔。这种病变容易继续扩展、形成血栓,也更容易再次破裂。
传统治疗方法包括血管内介入栓塞或开颅夹闭,但对于这种位于大脑后动脉的梭形夹层动脉瘤,单纯闭塞载瘤动脉可能导致供血区域缺血,引发视力丧失、记忆障碍甚至瘫痪等严重后果。

出血后18天血管造影显示左侧P1-P2段扩张伴狭窄特征,颞后动脉自狭窄病变远端发出(箭头标注)
治疗破局
就在治疗陷入僵局时,神经外科团队经过多学科会诊和精密术前规划,最终决定采用:经左侧颞下入路颞浅动脉-大脑后动脉远端搭桥联合动脉瘤孤立术。
即1个切口完成“搭桥+孤立”双重任务:在患者左耳上方做一个精准切口,通过这单一入路同时完成两项关键操作,既减少创伤,又能保证手术视野的连续性。
医生通过左侧颞下入路,选择后颞动脉作为受体(图C、D),成功完成搭桥和孤立术,整个手术过程如同在“万丈悬崖边绣花”,每一步都要求精准到毫米,既要避免损伤周围神经和血管,又要保证吻合口毫无渗漏。


C、D.选择颞后动脉(箭头标注)作为受体动脉,经左侧颞下入路用连续缝合行颞浅动脉-颞后动脉吻合;
术后恢复
幸运的是,手术全程顺利,没有出现任何术中并发症。
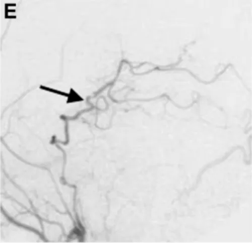
术后1周复查颈外动脉血管造影显示,通过新建的分流血管,左侧大脑后动脉供血区血流完全通畅(图E箭头标注),没有出现任何缺血迹象。
陈先生在术后恢复迅速,一年后的随访中,张先生已经完全恢复正常生活和工作,复查血管造影显示,颞浅动脉-后颞动脉搭桥血管依然通畅,动脉瘤未再复发。

术后1周颈外动脉血管造影显示,通过分流血管,整个左侧大脑后动脉供血区血流良好(箭头标注)。
一个切口解决两个难题
大脑后动脉梭形动脉瘤虽罕见,但致死致残率极高。传统治疗方案要么风险过高,要么效果不佳,而川岛明次教授团队提出的经颞下入路搭桥+孤立术,通过“一个切口解决两个难题”的创新思路,既彻底拆除了动脉瘤,又通过血运重建保证了远端脑区的供血,有效规避了缺血性并发症。
神经外科的进步,正是在一次次破解这类“疑难杂症”中实现的。如果出现突发剧烈头痛、呕吐、视力模糊等症状,需警惕颅内动脉瘤破裂的可能,及时前往正规医院神经外科就诊,早发现、早干预是挽救生命的关键。
文献资料:
Kawashima A et.al.Superficial Temporal Artery:Distal PosteriorCerebral Artery Bypass through the SubtemporalApproach:Technical Note and Pilot Surgical Cases.Operative Neurosurgery 13:309–316,2017 DOI:10.1093/ons/opw033
INC国际神经外科专家团-川岛明次教授

INC国际神经外科医生集团旗下世界神经外科专家团(WNEG)成员、世界脑血管搭桥手术大咖、圣路加国际医院神经外科主任川岛明次(Akitsugu Kawashima)教授,擅长脑卒中、烟雾病、颅底肿瘤、面部痉挛/三叉神经痛、颅内血肿、巨大脑动脉瘤、脑动静脉畸形等疾病的治疗,尤其擅长脑血管搭桥、颈内动脉内膜切除术。
神经外科经验:
烟雾病脑血管搭桥手术:1300例
脑动脉瘤夹闭手术:1000例
脑血管畸形切除术:500例
颈内动脉内膜切除术:450例
开颅脑瘤切除术:280例
颅后窝搭桥术、High-flow Bypass技术等


