在日常生活中,颈部疼痛实在太常见了。长时间低头看手机、工作、不良睡姿、颈椎劳损……大多数时候,这些疼痛在经过休息和物理治疗后都会缓解。然而,有一种特殊的颈部疼痛,它可能预示着大脑深处正潜伏着一种罕见的肿瘤——颅颈交界区脊索瘤。
26岁男士,正值青春年华,却因颈部剧痛、吞咽困难和舌肌萎缩被查出颅颈交界区巨大脊索瘤,肿瘤直径达10厘米,严重压迫脑干。
74岁女性,颈痛一年后确诊脊索瘤,初次手术后复发,肿瘤侵蚀颈椎导致病理性骨折。
21岁女性,因颈部疼痛发现枕骨大孔和颅颈交界区的脊索瘤,病变拓展至硬膜内,累及双侧椎动脉。该名脊索瘤患者还伴有明显的骨质破坏和硬膜内延伸。
这些不同年龄的患者,最初都以为只是“普通脖子痛”,最终却都被诊断为同一种疾病——颅颈交界区脊索瘤。颅颈交界区肿瘤位置复杂深在,手术切除生长在该区域的颅底肿瘤比较困难,肿瘤可能侵袭周围骨性结构并压迫或包绕脑干、椎基底动脉及分支和多组颅神经,术后容易发生颅颈交界区不稳定以及严重的脑干和其他重要结构的损伤,造成肢体瘫痪、呼吸循环衰竭等手术风险极大。点击阅读,了解更多:“颅底和颅颈交界区脊索瘤的治疗”——INC国际福教授神外大师课程内容分享

到底什么样的脖子痛需要尽早就医?
并非所有颈部疼痛都值得恐慌,但某些特定类型的颈痛确实需要提高警惕。
1、进行性加重的疼痛:如果您的颈部疼痛持续数周甚至数月,不仅没有缓解,反而逐渐加重,休息或普通止痛药效果不佳,甚至夜间会痛醒,这需要引起重视。
2、伴有神经症状的颈部疼痛:当颈部疼痛伴随以下任何症状时,务必及时就医:
·四肢麻木、刺痛或过电感
·手部力量下降、持物不稳
·走路时有踩棉花的感觉
·声音嘶哑、饮水呛咳、吞咽困难
·舌肌萎缩或伸舌偏斜
3、特定动作诱发的疼痛:颈部活动或者咳嗽、用力时,疼痛明显加重的情况需要警惕。
4、对症治疗无效的疼痛:如果尝试了按摩、针灸、理疗等常规方法后,颈部疼痛没有明显改善,甚至加重,不应掉以轻心。
多数脊索瘤患者初始症状不明显,早期常被误诊或漏诊。专家提醒,一旦出现颈枕部疼痛,尤其是上述情况,应尽早就医。
为何脊索瘤会导致脖子痛?
脊索瘤是一种起源于胚胎残余脊索组织的罕见肿瘤,好发于颅底斜坡和骶尾部。当它发生在颅颈交界区域时,会引起特定类型的颈部疼痛,其原因主要有以下几点:
机械压迫效应:颅颈交界区是头颅与颈椎的连接处,结构复杂。当脊索瘤在此区域生长时,会直接压迫脑干、颈髓和神经根,引起颈部疼痛和神经功能障碍。肿瘤增大到一定程度,可导致颅内压增高,甚至引发脑积水,加重疼痛。
骨质破坏:脊索瘤具有侵袭性,可侵蚀斜坡、枕骨髁、寰椎(C1)、枢椎(C2)等关键骨性结构。这种骨质破坏直接导致局部疼痛和颅颈不稳定。
神经血管受累:颅颈交界区集中了椎动脉、后组颅神经等重要结构。肿瘤可能包裹或压迫这些结构,影响血流和神经传导,引起复杂症状。
颅内压变化:当肿瘤阻碍脑脊液循环时,可引起颅内压增高,产生剧烈头痛,并放射至颈部。
值得注意的是,发生在斜坡下端及颅颈交界处的脊索瘤,常以头痛、枕部或枕颈交界区域疼痛为常见症状,头部体位改变时可以诱发或加重症状。
查出脊索瘤的他们,后来怎么样了?
术者:INC旗下世界神经外科顾问团(WANG)成员、世界神经外科联合会(WFNS)颅底手术委员会前主席Sebastien Froelich(福洛里希)教授

01、26岁男性巨大脊索瘤
“颈部疼痛”竟然查出巨大脊索瘤——肿瘤直径达10厘米,体积达96.5cm³,已侵犯斜坡、枕骨髁、C1-C2椎体,并严重压迫脑干。

治疗策略:INC福洛里希教授采用经远外侧经髁入路进行显微镜+神经内镜双镜联合切除肿瘤,随后行枕颈融合术。创新性地使用Roy-Camille技术进行固定,为后续质子治疗创造了无金属通道。
结果:肿瘤完全切除,术后患者吞咽功能改善,颈部疼痛缓解。术后8周接受质子治疗,实现了全面治疗。

A和B:术前CT扫描显示颅颈交接区脊索瘤,侵犯斜坡-枕髁并呈溶骨性破坏。C:术前MR显示肿瘤巨大延伸,并浸润长入硬膜内的脑实质。D:术后CT显示PMMA枕髁重建稳定良好。E:术后三维CT显示C0-C3-C4-C5枕颈融合稳定,与根钉弯曲有利于PBRT治疗。F:术后MR显示全切肿瘤和脑干延髓占位压迫得到解除。
02、74岁女性复发脊索瘤
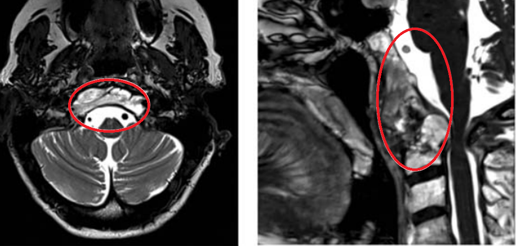
这位患者有慢性颈部疼痛病史1年,它院初次手术后5年复发,肿瘤尺寸达51.3×74.3×25.9毫米,并引起C2椎体病理性骨折及脊髓压迫。
▼图a-b术前MR显示颅颈交界区巨大脊索瘤,51.3×74.3×25.9 mm大小,浸润性生长。

▼图显示脊索瘤向周边浸润生长,下至C5-C6水平的脊髓瘤侵犯浸润。

治疗策略:INC福洛里希教授采用神经内镜和显微镜双镜联合,使用前-远外侧入路一次全切肿瘤。
结果:术后MRI显示肿瘤完全切除,患者接受枕颈固定后无并发症,术后9个月无复发,神经功能正常,恢复日常活动。
▼F术后MRI显示肿瘤完全除

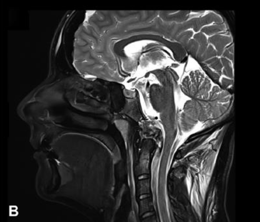
03、21岁女性脊索瘤
这位年轻女性因颈部疼痛就诊,MRI发现颅颈交界区脊索瘤,伴骨质破坏和硬膜内延伸,累及双侧椎动脉。

术前MRI
手术策略:INC福洛里希教授采用了内镜辅助的前外侧入路,顺利切除肿瘤。术后几天行枕颈融合术确保稳定性。

术后MRI
对于特定位置脊索瘤,个体化手术入路选择的重要性,既要尽可能切除肿瘤,又要保护重要神经血管结构。
脊索瘤虽然罕见,但因其发病隐匿,早期症状不典型,容易与普通颈椎病混淆,常常导致误诊或延迟诊断。对于持续不缓解、进行性加重、伴有神经症状的颈部疼痛,应提高警惕,及时进行MRI等影像学检查,以排除颅颈交界区病变可能。


