颅咽管瘤是一种具有良性组织病理学特征但呈现恶性临床行为的鞍区肿瘤。该肿瘤起源于垂体胚胎发育阶段残留的扁平上皮细胞,属于先天性颅内良性肿瘤的一种。在解剖学位置上,颅咽管瘤多数位于蝶鞍上方,而少数病例则发生在鞍内区域。

颅咽管瘤图片
颅咽管瘤的临床表现主要表现为垂体-下丘脑的功能障碍、视力受损以及颅内压增高等症状。该肿瘤的年龄分布呈现双峰模式,其中第一个高峰出现在5至14岁的儿童群体中,而第二个高峰则发生在50至75岁的中老年人群中。
当患者出现无明显原因的视力下降和内分泌失调症状时,应提高警觉,及时就医,进行头部CT和MRI检查,以便尽早诊断是否患有颅咽管瘤,并采取相应的治疗措施。
目前,手术是治疗颅咽管瘤的主要方法。在充分保护垂体-下丘脑功能及视路结构的前提下,尽可能地实现肿瘤的全切。大多数患者可以通过全切除根治颅咽管瘤,而首次手术即实现全切除被认为是治疗颅咽管瘤的方案。
针对鞍上区颅咽管瘤,传统的开颅手术入路包括额下入路、翼点入路、经胼胝体入路,或是这些入路的组合。这种方法涉及打开颅骨以暴露大脑,从而允许外科医生直接接触到肿瘤并进行切除。
随着神经外科的发展,神经内镜下经鼻蝶窦手术入路在神经外科实践中逐渐占据了一席之地。对于鞍上颅咽管瘤的治疗,神经内镜经鼻蝶窦手术已经发展成为一种可替代传统开颅手术的方法。

内镜手术通常通过鼻腔或颅骨上的小孔进行,这种微创技术尤其适合位于鞍区、鞍上或脑室内的肿瘤。内镜手术具有以下优势:
1、创伤小:内镜手术通常需要较小的切口,减少了组织损伤和出血。
2、恢复快:由于手术创伤较小,患者的恢复时间通常比传统开颅手术要短。
3、视野清晰:内镜可以提供放大的、高清的视野,有助于外科医生更精确地识别和分离肿瘤与正常脑组织。
4、术后并发症少:减少感染、出血和其他并发症的风险。
需要注意的是,颅咽管瘤的位置复杂,往往与下丘脑、垂体柄、视神经、视交叉及附近的血管结构紧密相邻,全切手术的难度高,创伤大,术后并发症的风险也相对较高。鉴于此,患者应选择经验丰富、技术精湛的医疗团队进行治疗,以获得良好的治疗效果。
而在该领域,INC国际神经外科医生集团旗下组织世界神经外科顾问团(WANG)成员、世界神经外科学会联合会(WFNS)内镜委员会前主席Henry W.S.Schroeder教授是国际上杰出的专家之一。他拥有超过20年的神经外科疾病诊疗经验,在多个领域具有专业造诣,其中之一即是颅咽管瘤的手术治疗。
Henry W.S.Schroeder教授

世界神经外科学会联合会(WFNS)内镜委员会前主席
欧洲神经内镜学会前主席
德国神经内镜和神经导航协会前主席
德国格赖夫斯瓦尔德大学(Greifswald University)神经外科教授兼主席
德国颅底外科学会科学委员会成员
Henry W.S.Schroeder教授是德国格赖夫斯瓦尔德大学(世界非常古老的大学之一,有三位诺贝尔奖校友)神经外科教授及主席。其主要研究领域包括垂体瘤、脑膜瘤以及其他颅内肿瘤的神经内镜手术、显微神经外科手术和显微颅底手术。
他于1989-1996年进入格赖夫斯瓦尔德大学学习医学并在神经外科完成了住院医师培训,1996年,他获得神经外科医师认证;2001年,博士毕业,成为神经外科副教授;2003-2004年,担任格赖夫斯瓦尔德大学神经外科主席。他还是德国神经外科协会、神经外科医师大会、美国神经外科协会的成员。
近年来,Henry W.S.Schroeder教授及其团队在诸多SCIE期刊上发表过以治疗颅咽管瘤为主题的学术论文。在这些论文中,Henry W.S.Schroeder教授呈现了他最新的学术研究成果。

发表于SCIE期刊《Operative neurosurgery(Hagerstown)》(神经外科手术)上的论文:《神经内镜下经皮质-经脑室入路治疗扩展至第三脑室的囊性颅咽管瘤:二维手术视频》

发表于SCIE期刊《Operative neurosurgery(Hagerstown)》(神经外科手术)上的论文:《神经内镜下经皮质-经脑室入路治疗侵犯第三脑室颅咽管瘤——手术技术和文献综述的系列病例研究》

表1.患者在接受ETTA(神经内镜下经皮质-经脑室入路)治疗前后的特征及其结果

发表于SCIE期刊《Neurosurgery Clinics of North America》(北美神经外科临床)上的论文:《神经内镜下经鼻入路治疗颅咽管瘤》
Henry W.S.Schroeder教授手术案例
患者情况:57岁,高度视力丧失、视野受限。眼科检查显示左侧0.1和右侧0.2,及偏盲。
术前MRI:不对称的鞍上强化病变,怀疑颅咽管瘤。
手术入路:神经内镜下颅咽管瘤切除术
术后情况:术后14天视野确定已经显示出外部边界的明显改善。视力右侧为1.0,左侧为0.9。短期尿崩症也已完全消退。术后一年MRI显示完全肿瘤切除,手术后2年,没有复发性肿瘤。

患者情况:84岁,视力减退。检查发现双侧视力下降、视野缺损。内分泌评估显示垂体功能完整。

a–c图中,MR成像显示鞍上部分实性,部分囊性对比增强病变,高度可疑的颅咽管瘤。

d图中,经鼻内镜手术入路暴露。视神经的隆起(ON)可以看到总颈动脉(C)和鞍状硬脑膜(S)。e图表示切除之后肿瘤隆起,肿瘤上表面暴露在30°内窥镜下观察。右前A2节段可见脑动脉和右视神经(ON)。f图中,从视交叉切开肿瘤,使用镊子双向牵拉分离暴露(视神经ON)、A1和前脑动脉的A2段(A1,A2)。

g图表示背侧肿瘤表面,垂体柄浸润(ST,在虚线)被可视化处理眼动脉(O),后交通动脉P1段(P)和后交通动脉(箭头)。h图表示肿瘤切除后,左视神经内出现严重的压迹(箭头),由于肿瘤对神经的压迫和A1区段引起的可以看到大脑前动脉(A1和A2)。i图中,最终检查显示垂体后叶浸润(ST)后部、交通动脉(箭头)、岩上段颈内动脉(C)和动眼神经(O)的肿瘤残留(T)

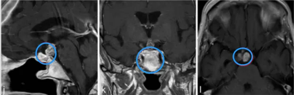
j-l图表示,在3个月后复查MR检查,显示术后垂体柄处有肿瘤少量残留。

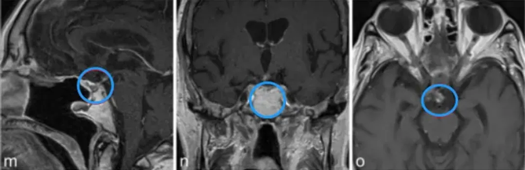
m-o图显示,磁共振成像分期立体定向放射治疗后22个月,显示肿瘤明显缩小。病人经氢化可的松和甲状腺激素的替代治疗恢复良好。
注:以上案例供学术交流,不作为个别患者的医学诊疗意见。


