当耳背、突聋、耳闷这些“小毛病”反复出现,你是否会误以为是疲劳、衰老或普通炎症所致?殊不知,这些看似不起眼的症状,可能是颅内听神经瘤发出的“预警信号”。
听神经瘤虽多为良性,却因生长在桥小脑角区——这个汇集了面听神经、脑干、血管的“神经血管丛林”,若延误治疗,肿瘤增大可能压迫重要脑组织和神经,引发面瘫、听力丧失甚至危及生命。
本文将通过由INC国际神经外科大咖巴教授主刀的3个症状各异的听神经瘤病例故事,一起来看看听神经瘤的早期隐匿症状和发展过程。
听神经瘤那些被忽视的“隐匿信号”
听神经瘤(前庭神经鞘瘤)是桥小脑角区最常见的良性肿瘤,占该区域肿瘤的80%-90%,多见于成年人,发病高峰在30-50岁。
其最大特点是早期症状隐匿且不典型,最常见的首发症状是单侧、进行性的听力下降、耳鸣或耳闷胀感,这与许多耳科疾病(如突发性耳聋、中耳炎)表现相似。
当症状出现在老年人身上,很容易被归结为“老年性耳聋”;出现在压力大的中青年身上,又常被误认为“劳累上火”。患者可能辗转于耳鼻喉科,进行常规听力检查甚至CT扫描,却可能因为肿瘤微小或CT对软组织分辨率不足而“未见异常”。

听神经瘤9大症状
一旦肿瘤继续生长,就会压迫周围神经和脑组织,症状会逐步加重:可能出现行走不稳、眩晕、面部麻木或抽搐。当肿瘤增大到压迫脑干和第四脑室时,甚至会引发脑积水,导致头痛、呕吐、步态异常等危及生命的并发症。
值得注意的是,听神经瘤的诊断金标准是颅脑磁共振成像(MRI)增强扫描,其对微小肿瘤的检出率高,诊断准确率超过95%;而CT检查因软组织分辨率较低,常难以发现早期肿瘤,仅作为骨质评估的补充手段。这也是许多患者早期CT检查“正常”,后期才被MRI确诊的关键原因。
因此,头颅增强磁共振(MRI)是诊断听神经瘤的“金标准”,它能清晰显示哪怕只有几毫米的微小肿瘤。对于不明原因的单侧听力下降、耳鸣,尤其是伴有平衡障碍时,进行MRI排查至关重要。
三例真实病例
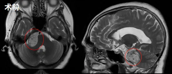
病例1:耳背还走路不稳,70岁奶奶的“老年病”竟是3cm听神经瘤。
“人老了耳背很正常”,2018年,70多岁的齐奶奶右耳开始听不清时,一家人都没放在心上。直到2020年,症状突然恶化:齐奶奶走路频繁走偏、下肢无力,无人搀扶就容易跌倒,甚至出现白天大小便失禁的情况。
2021年,经两次MRI检查,齐奶奶最终确诊:右侧听神经瘤(20mm×15mm×19mm)合并脑积水。

高龄、脑积水、听神经瘤,三重困境让治疗异常棘手。多数医生对高龄患者倾向于选择风险较低的放疗。但巴教授远程会诊后给出了不同意见:肿瘤体积不小,放疗后仍可能进展,届时患者年龄更大,手术风险更高。
2021年11月,齐奶奶先接受了脑积水引流手术,症状大为缓解。然而,2022年10月的复查带来坏消息:肿瘤已长到3厘米以上!手术迫在眉睫。

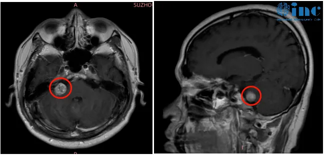
恰逢巴教授来华开展疑难示范手术,中德专家同台协作,成功将肿瘤完整切除。术后第二天,齐奶奶就从ICU转入普通病房,能自主坐起。

术后一年,随访视频里的齐奶奶精神矍铄,还会跟家人调皮打招呼,生活完全恢复如常。
病例2:讲台突聋惊魂,35岁高校老师的“保面保听”之战
2021年深冬的一堂专业课上,正在讲课的35岁的高老师突然感觉右耳听不清,伴尖锐耳鸣。听力检查显示右耳纯音测听阈值高达60-70分贝,属于重度听力损伤。
住院治疗两周后,他的听力虽暂时恢复至20-30分贝,但头颅增强MRI检查发现了真正元凶——右侧听神经瘤,且肿瘤大部分深嵌在内听道内。

这个位置的肿瘤与面听神经紧密缠绕,手术极易损伤神经导致永久性面瘫——这对需要频繁站在讲台的高老师来说,是职业和尊严的双重打击。
在保守观察期间,肿瘤再次引发突聋,并新增走路眩晕症状。抱着“保面、全切、保听”的诉求,他联系上巴教授。2022年春,巴教授采用“内听道磨除术+膜内切除术”,成功切除肿瘤并完好保留面听神经功能。

术后三天,高老师就能下床行走;术后三个月,他短暂出现的轻度面瘫也通过康复训练完全恢复。如今,他已重返讲台,继续教书育人的使命。
病例3:耳闷2年查不出,站立不稳时才发现3.5cm巨大肿瘤
三十多岁的李女士从2019年开始偶感右耳闷胀,听力轻微下降。耳鼻喉科检查“未见异常”,服药后症状依旧。不到半年,她出现舌部和面部麻木,但头颅CT仍无异常发现。
直到2021年末,她的症状急剧加重:右耳听力和耳鸣恶化,右眼视力下降,面部麻木加剧,出现站立不稳。这次的头颅MRI终于揭示了病因——右侧桥小脑角区听神经瘤,最大直径约35mm,已压迫脑干。

肿瘤巨大,手术是唯一出路。但面对“术后面瘫”的高风险,李女士辗转难眠。在查阅大量资料后,李女士联系上巴教授。手术中,巴教授采用个体化入路,结合神经电生理监测和MRI辅助,在显微镜下将肿瘤完整切除,还为李女士保留了大部分秀发。

术后,李女士恢复顺利。虽因水肿出现过短暂面瘫,但半年后面部功能完全恢复。术后两年复查MRI,肿瘤无任何复发迹象,面部功能良好。
齐奶奶、高老师、李女士的经历,都指向一个共同的警示:单侧听力下降、耳鸣、耳闷、眩晕、面部麻木等症状,绝不能轻易忽视。这些看似普通的“小毛病”,可能是听神经瘤的早期信号,及时做头颅MRI增强扫描,才能避免误诊延误。
听神经瘤虽隐匿,但并非不可战胜。首次手术的选择往往影响着最终的康复效果和长期预后。在制定手术方案时,建议患者以国际诊疗规范为基准,选择经验丰富的手术团队,优先考虑能够实现肿瘤全切并完整保留面听神经功能的高质量手术。理想的手术效果意味着更长的无复发期、更少的术后并发症,以及更短的康复时间,可以尽早摆脱疾病困扰,重归正常生活。


