脊髓海绵状血管瘤,这个大多数人从未听过的疾病,没有给郑先生任何缓冲的机会。吞咽、抬手、翻身——这些与生俱来的能力,在一夜之间成了遥不可及的奢望。
突遭变故:从生意场高手到重症患者
发病前,郑先生的生活节奏快得像个停不下来的陀螺。2023年10月,正在为公司新项目奔波的他,第一次注意到后颈传来异样的酸痛。“以为是劳累导致的颈椎问题”他回忆道。
情况急转直下的速度超出所有人预料。24小时内,他从颈部酸痛发展到剧烈呕吐,最后竟在救护车上失去了颈部以下的所有知觉。
急诊医生的初步诊断让全家陷入迷茫:脊髓血管病变。住院11天,郑先生经历了从绝望到希望的第一轮起伏——左侧身体逐渐恢复知觉,但右侧依然麻木,吞咽功能严重受损。
转院到康复中心后,郑先生开始了与疾病的持久战。针灸、按摩、中药、小针刀……传统医学的各种方法轮番上阵。

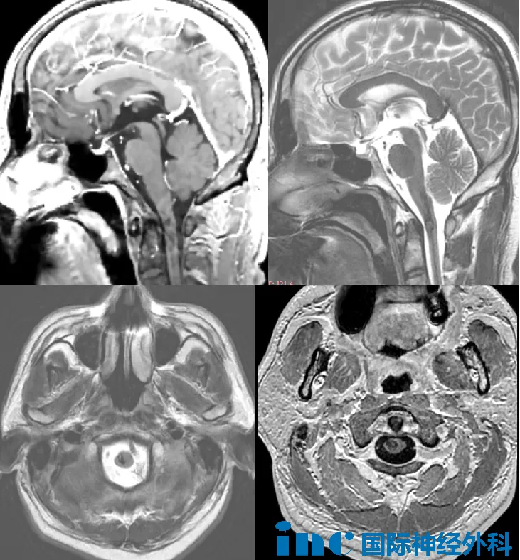
12月底的MRI检查带来了明确诊断,也带来了新的抉择:延髓区海绵状血管瘤。面对这个紧贴生命中枢的“不速之客”,多家医院都因手术风险太高建议保守治疗。
脊髓海绵状血管瘤治疗挑战
出血一次,风险翻倍
2022年《Journal of Neurosurgery》(《神经外科学杂志》)的一项研究更是戳中了患者的痛点:对2003-2021年保守治疗的脊髓海绵状血管瘤患者追踪发现,第二次出血后,患者神经功能会显著恶化;且出血次数越多,完全康复的可能性越低。

动刀就是“走钢丝”
脊髓由无数神经纤维组成,控制着肢体运动、感觉、吞咽甚至呼吸功能。手术时既要精准切除出血病灶,又要保护脆弱的神经——稍有偏差,脊髓一旦受损,将会严重影响人体的正常功能。根据损伤部位和程度的不同,可能导致瘫痪、感觉丧失、大小便失禁等严重后果。

转机与手术:病友群里的微光
转机出现在第二年,在病友群的一次分享中。INC国际神经外科大咖巴特朗菲教授来华交流的消息,点燃了郑先生最后的希望。
“听说他救过很多疑难海绵状血管瘤患者,我立刻联系了INC国际神经外科医生集团,想请他评估。”

巴教授仔细分析了郑先生的影像后,给出了明确答复:
“影像显示了位于C1颈髓内的一个海绵状血管畸形此前导致了一次内生性出血,进而向上扩展到延髓下部。实际上,导致最初出血的根本原因是位于脊髓右侧的血管畸形。但手术切除技术上完全可行。我知道如何安全暴露病灶,虽然不是紧急手术,但结合你之前的出血情况,尽早切除才能避免后续风险。”
同时,教授也坦诚:“之前出血已损伤部分神经,术后症状可能不会完全消失,但会有改善。”

10月2日,手术正式开始。无影灯下,巴教授主刀,中国团队密切配合,每一步操作都小心翼翼。经过数小时的奋战,手术顺利完成。

术后第1天,郑先生就顺利转出ICU。术后部分功能也在好转。术后一年,郑先生早已回到正常生活,甚至能偶尔运动健身。
*案例来源:文中所述为INC国际巴特朗菲教授2024年10月2日进行的手术一例。
INC国际脑血管专家-巴特朗菲教授
INC国际神经外科医生集团旗下世界神经外科顾问团(WANG)成员、世界神经外科联合会(WFNS)教育与技术委员会前主席巴特朗菲教授,作为德国汉诺威国际神经外科研究院血管神经外科主任,擅长大脑半球病变、脑干病变、脑血管疾病、脑内深层区胶质瘤、颅颈交界处的病变等的肿瘤切除术、神经吻合术以及各种椎管内肿瘤等。

同时,巴特朗菲教授收到过来自欧洲、中东、北非以及日本、中国、韩国、新西兰、南非和智利的40个国家的学术邀请,应邀出席了400多场世界各地的学术会议或在神经外科大会作为特邀发言人,对世界神经外科学科做出重大贡献,特别是颅底外科和显微外科血管病变的脑和脊髓治疗。


