大脑海绵状血管瘤有哪些症状?脑海绵状血管瘤是低流量、出血性血管病变,影响0.4-0.5%的人群。因为它们是“血管造影隐匿的”,并且通过计算机断层扫描(CT)显示不良,它们一度被认为是少见的。随着磁共振成像(MRI)的引入,这些病变作为癫痫发作和神经损伤的可手术治疗的原因的重要性已经被很好地记录下来。大多数情况下,海绵状血管瘤的切除并不困难;然而,特定病变的位置可能会增加围手术期并发症的风险。这种风险对于涉及颅椎交界处(CVJ)的病变明显。
脑海绵状血管瘤似乎是由于病灶内出血和血栓反复发作而生长并产生症状。更少见的是,它们表现为病灶外出血。这些发作是无症状的,直到病变达到刺激或压迫邻近结构的临界尺寸。
头痛是海绵状血管瘤患者中相对常见但非特异性的症状。它存在于大约三分之一的患者中,无论病变是幕上还是幕下,也无论是否有急性出血的证据。这些损伤产生头痛的机制尚不清楚。的肿块效应和脑脊液通路的阻塞是少见的,出血很少到达软脑膜表面。无论病因如何,头痛都是许多患者开始诊断评估的主诉。
尽管当病变位于幕上时,癫痫发作是较常见的症状,但当病变涉及CVJ时,局灶性神经功能缺损占主导地位。根据病变的确切位置和大小,长管道体征和脑神经缺陷的组合各不相同。较常见的症状是动眼神经运动功能障碍的急性发作(47%),其次是共济失调/头晕(37%)、感觉障碍(30%)、头痛(30%)和运动无力或痉挛(28%)。


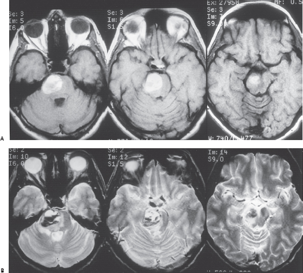
图17.5:磁共振成像(MRI)对一名34岁女性患者进行了1周的病史,突然出现左侧无力和感觉丧失,其结果与脑桥海绵状血管瘤引起的大面积亚急性出血一致。注意,大部分亚急性出血—(A)T1加权和(B)T2加权图像上的高信号强度区域—位于(B)T2加权图像上病变囊(低信号强度环)的正常范围之外。这种模式和(B)T2加权图像上水肿的存在与“大出血”或病灶外出血一致,并且与复发性症状性出血的相关。较近的亚急性出血区域到达脑桥腹侧的软脑膜表面,为手术切除病变提供了顺利的途径。经眶颧入路清除血肿及相关海绵状血管瘤,无并发症,患者术后1周出院,情况良好。在2年的随访中,患者无症状,没有复发性出血或残留病变(C) 该患者术后二天获得的T2加权自旋回波图像显示术后早期MRI研究难以解释;手术床上的水肿和血液容易与残留的海绵状血管瘤相混淆(D) 术后6个月的重复MRI仅在T2加权自旋回波图像上显示含铁血黄素与慢性溶解性出血相关的特征性低信号特征。延迟图像上该区域内没有任何高信号区域证实海绵状血管瘤完全切除。
出血率在急性/亚急性出血发作侵犯病变囊的患者中似乎特别高,产生所谓的“显性”病变外出血(IA型病变;图17.5A,B)进入周围大脑。Aiba和同事39对62例此类患者进行了平均3.12年的随访,发现每年复发症状性出血的风险为22.3%。Barker和同事42报道了选择141名出现“明显”出血的患者进行干预的类似经历。在这个系列中,63名患者在治疗前经历了二次出血。出血集中在初始事件周围,前28个月每年再出血率为25.2%。据报道,海绵状血管瘤不完全切除后再出血的发生率相当,可能是由于病变囊中断所致,强调了在初始手术过程中完全切除的重要性。


