现代生活的快节奏与持续压力,让甲状腺问题悄然成为许多女性的困扰。无论是甲状腺功能亢进(甲亢)还是减退(甲减),由于初期症状不剧烈,很多人容易忽视规范调理,却不知在极少数情况下,这种“常见慢性病”可能与罕见病联手,酿成致命风险。
比如今天要分享的案例——29岁的梨佳(化名)就遭遇了这样的双重打击:甲亢未愈,又突发烟雾病引发的双侧脑梗死,好在经过多重治疗,她最终艰难重生。

这则病例来自INC国际脑血管搭桥手术大咖川岛明次(Akitsugu Kawashima)教授研究团队发表的一篇研究,重点关注了“甲亢相关烟雾病”这一群体。
甲亢与烟雾病是什么?
【甲状腺功能亢进(甲亢)】
甲亢是一种自身免疫性疾病,其特征是甲状腺激素分泌过多。女性患病率是男性的3-4倍,这与女性的激素波动、压力感受性高等因素有关。
常见症状包括心悸、手抖、体重下降、焦虑易怒等。但更重要的是,甲亢不仅是甲状腺的问题,它可能通过代谢紊乱和免疫机制,影响全身多个系统,包括脑血管。
【烟雾病】
一种罕见的脑血管异常疾病,核心特征是大脑Willis环周围血管进行性狭窄,脑底部会形成代偿性的“烟雾状”异常血管。该病易引发脑缺血或脑出血,严重时危及生命。
当烟雾病遇上甲亢,情况就变得复杂起来。INC川岛明次教授的研究团队发现,活跃的甲亢状态可能急剧加速烟雾病血管病变的进程,引发致命的脑梗死。
梨佳的艰难治疗历程
梨佳最初因心慌、手抖、体重莫名下降就医,被确诊为甲亢(格雷夫斯病)。当时她忙于工作,仅断断续续服药,并未重视规范治疗。
没过多久,梨佳开始频繁头晕,偶尔出现肢体麻木,起初以为是工作劳累,直到症状加重到行走不稳、视物模煳,才紧急就医。
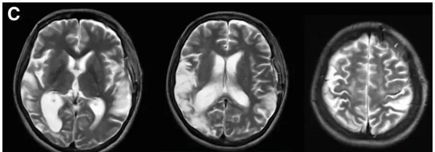
影像学检查显示:她的双侧大脑半球出现进行性脑梗死,脑血管呈现烟雾病典型的“血管狭窄闭塞+烟雾状异常血管”改变。医生判断,正是未控制的活跃甲亢,加速了血管病变,让原本隐匿的烟雾病突然爆发。

术前血管造影(双侧颈总动脉正位图)显示双侧颈内动脉末端有“烟雾血管狭窄征象”,双侧大脑中动脉(MCA)狭窄(左)。术前Xe-CT显示双侧MCA区域脑血流减少(右:15.9,左:22.8 ml/100 g/min)(右)。
甲亢和烟雾病的同时存在创造了治疗困境:甲亢需要控制甲状腺激素,而烟雾病引起的脑缺血又急需手术改善血流。更复杂的是,活跃的甲亢状态会增加手术风险,包括更高的脑出血风险和过度灌注综合征可能。
川岛教授团队采取了分阶段治疗策略:
首先控制甲亢:梨佳接受了强化抗甲状腺药物治疗,大约70天后,她的甲状腺激素水平达到可安全手术的范围。
然后进行血管搭桥手术:在甲状腺功能稳定后,医疗团队为梨佳进行了颞浅动脉-大脑中动脉(STA-MCA)双搭桥术,成功改善了脑部血流。

术后23天MR复查显示未出现新的缺血性或出血性病变,恢复良好。
术后复查显示,梨佳的大脑供血明显改善,肢体麻木、视物模煳等症状逐渐消失。出院后她坚持规律服用抗甲状腺药物,定期复查,如今已能正常工作生活。
另一个视角:基因检测带来的深层次认知
在治疗过程中,为了探究为何梨佳发病较早、病情较重,医生为梨佳做了RNF213基因全编码区测序。检测发现她携带了RNF213基因的两个特定变异。RNF213是已知与烟雾病(尤其是东亚人群)发病密切相关的易感基因,而甲亢则成为了病变爆发的“诱因”。
这个信息提示,先天的遗传背景可能是个体患病风险与临床表现差异的内在基础之一。对于有早发、重症或家族史的患者,基因检测有助于更全面地评估病情。
先控基础病,再修脑血管
川岛教授团队对8名类似患者的研究表明,对于烟雾病合并甲亢的患者,优化甲状腺功能后行血管搭桥术,可成功预防脑缺血事件。
关键在于手术时机的选择:甲状腺功能亢进时应避免手术,但控制甲状腺激素的时间也不宜过长,以免血运重建手术延迟加重脑缺血风险。在川岛教授的研究中,从开始甲状腺激素治疗到进行重建手术的平均时间约为4.7个月。
无论是甲亢还是烟雾病,早期症状往往隐匿而不典型。甲亢可能仅仅表现为心悸、手抖;烟雾病早期可能只是偶尔头痛。这提醒我们,在工作和生活之余,要多关注自己的身体信号:
定期体检:普通人群每年进行一次甲状腺功能检查和颈动脉超声检查十分必要。
重视慢性病:如已有慢性疾病(如甲亢),应遵医嘱规范治疗,定期监测指标。
关注家族史:甲状腺疾病和烟雾病均有家族聚集倾向,有相关家族史的人群应提高警惕。
及时就医:当出现不明原因头痛、肢体无力、言语障碍等症状时,应尽早寻求专业医疗帮助。
罕见病与常见病的叠加虽少见,但做好日常健康管理、及时干预,就能最大程度降低风险。健康从不是“事后补救”,而是藏在每一次规律体检和遵医嘱的坚持里。
文献来源:
Akitsugu Kawashima et.al.Rare and Low-Frequency Variants in RNF213 Confer Susceptibility to Moyamoya Syndrome Associated with Hyperthyroidism
INC国际神经外科专家团-川岛明次教授

INC国际神经外科医生集团旗下世界神经外科专家团(WNEG)成员、世界脑血管搭桥手术大咖、圣路加国际医院神经外科主任川岛明次(Akitsugu Kawashima)教授,擅长脑卒中、烟雾病、颅底肿瘤、面部痉挛/三叉神经痛、颅内血肿、巨大脑动脉瘤、脑动静脉畸形等疾病的治疗,尤其擅长脑血管搭桥、颈内动脉内膜切除术。
神经外科经验:
烟雾病脑血管搭桥手术:1300例
脑动脉瘤夹闭手术:1000例
脑血管畸形切除术:500例
颈内动脉内膜切除术:450例
开颅脑瘤切除术:280例
颅后窝搭桥术、High-flow Bypass技术等


