包虫病是一种寄生虫感染,是地中海地区的地方病。它通常位于肝脏和肺部,而脑干包虫病少见。我们报告了一个五岁女性的病例,她表现为偏瘫,经过调查,她被诊断为脑桥包虫囊肿。她的肝脏和肾脏也有囊肿。大脑囊肿被完全切除,没有破裂,使用温和的水射流解剖(道林的技术)。经过4个月的随访,她感觉很好。我们强调保留包虫囊肿在儿童幕下囊性病变鉴别诊断中的重要性。
1.介绍
包虫病是一种由复杂的广义棘球绦虫引起的人畜共患疾病,分为10种基因型(G1-G10) 。人们通过摄入受污染的新鲜蔬菜、生活用水或与狗直接接触后感染寄生虫卵。中东是一个高度流行的地区,但迄今为止,还没有关于叙利亚流行的流行病学研究。
包虫囊肿可以在身体的任何器官中发现。虽然肝和肺受影响较大,但脑干感染相当少见。我们报告一例5岁女性桥脑包虫囊肿,经手术治疗未破裂。
2.案例报告
一名先前健康的5岁女性,生活在叙利亚农村地区,但没有与动物直接接触,表现为2周前开始的右侧偏瘫。在过去的一个月里,她还抱怨头痛、发烧和上腹痛,但没有出现呕吐。
她有意识,但很虚弱。体格检查显示右眼内斜视和上睑下垂,瞳孔对称但呈反应性扩张,嘴角右侧偏斜,右侧反射亢进和无力,右脚巴宾斯基反射阳性,轻度共济失调。
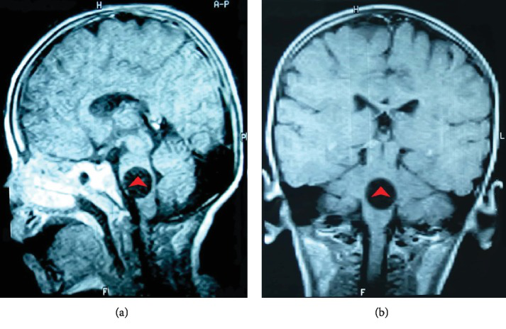
脑部核磁共振成像显示脑桥有一个轮廓分明的圆形病灶。它的测量值为21毫米,与脑脊液等强度,并且没有增强对比度。中线结构无水肿或移位(图1)。脑计算机断层扫描(CT)证实脑桥中存在明显的囊性病变(图2)。CT扫描显示肝脏有许多边界光滑的小圆形囊肿,左肾有一个小囊肿。

图1,非对比T1加权磁共振成像显示圆形,边界清楚,等信号囊肿(红色箭头)。矢状图像。冠状图像。

图2:增强扫描显示脑桥有一个轮廓分明的薄壁圆形囊肿(红色箭头)。未见钙化、周围水肿或造影增强。
棘球蚴间接血凝试验阳性。肝酶、肌酐和尿素都正常。高度怀疑包虫囊肿累及多个器官的诊断,并计划手术干预。
俯卧位时进行枕下开颅手术。硬脑膜呈Y形打开。蚓部被切开以到达四脑室。沿着中线轻轻地切开脑室底部,直到囊肿。道林的技术用于解剖囊肿,包括在包虫囊肿和周围组织之间滴注生理盐水。使用这种温和的水射流解剖,外科医生能够移除未破裂的囊肿。之后,病理报告显示包虫囊肿壁没有原头节。
阿苯达唑在手术前2天开始,剂量为7.5毫克/千克,每天两次,持续4个疗程,4周,间隔2周。
手术后,患者的上肢力量有所好转,但她出现了轻微的下肢无力,在四个月的随访期内有所好转。
关于位于其他器官的囊肿,我们建议患者在完成化疗后重复腹部和胸部CT,但她没有。
手术是颅内包虫囊肿治疗的主要手段,外科医生应尽较大努力在不溢出的情况下将其全部切除。道林的技术是当今较被接受的方法。它需要一个较大的骨成形皮瓣,在全部的手术步骤中小心处理,在囊肿上开一个大的切口,将手术台的头部向下倾斜,并在囊肿和大脑之间注射盐水。对于像脑干这样的重要区域,许多外科医生更喜欢先抽吸囊肿,然后移除其膜;然而,在我们的例子中,道林的技术在脑干中是合适的。在回顾性研究中,26.3%的病例报告术中破裂。为了将破裂后复发的风险降至较低,外科医生应大量使用高渗盐水清洗手术部位,并应用化疗药物,如阿苯达唑或甲苯达唑。术后死亡率估计为10%,并且在手术期间囊肿破裂或穿孔的患者中明显更高。
对于复发、手术中破裂或患有系统性包虫病的患者,需要进行药物治疗。它也可用于术前减少多发性囊肿的大小和数量,术后作为预防性治疗。药物可以单独用于治疗不能手术的病例,通常作为姑息治疗;然而,一些病例仅用阿苯达唑就成功治愈了。
3.结论
在流行地区,是在儿童人群中,包虫囊肿应作为脑干囊性病变的鉴别诊断。


