
刚出生的婴儿患上脑干高级别胶质瘤,命运似乎彻底对他关上了大门,就连父母也差点放弃了他。然而, 令所有人震惊的是,奇迹突然出现:在一次活检后,孩子的肿瘤竟然开始自行消退了!
难道是诊断有误?
不,这一诊断实际上已经得到组织学证实,但确实有其特殊之处,因为其分子特征不属于任何先前明确定义的儿童脑肿瘤分类。
这是Rutka(鲁特卡)教授近期发表的一则名为《Rare regression of congenital brainstem high-grade glioma: case report and literature review》研究中的真实案例。
在这篇论文中,鲁特卡教授认为,先天性婴儿脑干高级别胶质瘤 (HGG)极为罕见,对这些肿瘤的治疗也具有挑战性,且脑干 HGG通常预后极差。但这一案例似乎在告诉我们,可能存在预后较好的先天性脑干HGG亚类。
尽管如此,但由于类似被报道的患儿数量有限,且对肿瘤类型的要求极为严苛,自行消退似乎更像是“中了彩票”般遥不可及。对于目前绝大多数的高级别胶质瘤患儿来说,如何积极治疗以获得长期生存似乎更值得讨论。
可喜的是,在鲁特卡教授等学者的不懈研究下,儿童高级别胶质瘤的治疗手段正在不断发展,并取得振奋人心的成果,这也代表着经过有效治疗,高级别胶质瘤患儿也能实现长期生存。
PART01. 儿童高级别胶质瘤如何长期生存?
综合《中国抗癌协会脑胶质瘤整合诊疗指南(2024版)》及《美国国立综合癌症网络(NCCN)指南》可以明显发现,无论是国内外的指南还是共识,均认同多学科合作及个体化治疗,同时一再强调手术切除的首要地位。

问:为何专家均强调手术切除?
01 缓解症状,延长生存期
尽可能多地安全切除肿瘤,可以缓解颅内压升高、减轻肿瘤占位效应引起的症状。此外,多项研究指出,手术切除程度与患儿的总生存期(OS)和无进展生存期(PFS)存在关联。手术治疗的目标是延长患儿的生存时间。
02 用于确诊,为后续治疗“打地基”
术中可获得足够多的病理组织用于确诊及分子诊断,或可发现有效的治疗靶点,从而为后续治疗方案的制定提供方向。此外,肿瘤切除得越多,残留下来需要放化疗的肿瘤体积就越少,因此,先一步切除肿瘤不仅便于后续的辅助治疗,还能增强患儿对放、化疗的耐受程度。
除手术切除外,后续的辅助治疗也同样十分重要。近年来,在高级别胶质瘤方面,尤其是DIPG治疗上也取得了全新的进展。鲁特卡教授在来华期间,也同国内各专家共同探讨了当下前沿的治疗手段,并取得一定共识:

1. 极具前景:免疫治疗
针对肿瘤的特定分子标记,如RTK融合基因,可以使用特定的靶向治疗药物。例如,NTRK融合基因阳性的患者可以使用TRK抑制剂。而未来治疗的突破点很可能是免疫治疗与MRgFUS的联合应用。CAR-T疗法作为免疫治疗的一种形式,与疫苗疗法、过继性T细胞疗法(如PD-1抑制剂、 纳武利尤单抗Nivolumab等检查点阻断治疗)均在积极探索中,尤其与MRgFUS联合给药时前景可观。
2. 联合使用:药物治疗
化疗通常与手术和放疗结合使用,以增强治疗效果。常用的化疗药物包括替莫唑胺、卡莫司汀等。对于H3 G34突变型弥漫性半球胶质瘤和H3 IDH野生型弥漫性高级别胶质瘤,某些特定的化疗方案可能更为有效。此外,ONC201对DIPG来说是一种非常有前景的药物。但目前尚未普及,需临床试验验证生存获益,且国内可及性低。
3. 选择性尝试:临床试验
鉴于儿童高级别胶质瘤的难治性,参与临床试验获取最新的治疗手段是重要的治疗选择。许多新型药物和治疗方法正在研发中,临床试验为患者提供了尝试这些新疗法的机会。比如髓母细胞瘤Group 3/4 亚型需专项临床试验。当前前沿探索包括mRNA疫苗疗法、免疫治疗(尤其是具有全球应用挑战的CAR-T细胞疗法),以及基于分子遗传特征的靶向治疗(例如贝伐珠单抗结合免疫治疗)。此外,鲁特卡教授近期研究证实再程放疗对复发髓母细胞瘤及DIPG有效。该技术可在中国开展,或惠及特定髓母细胞瘤患者。

PART02. 综合治疗后,他有望长期生存!
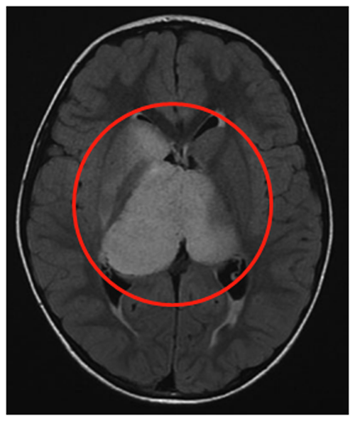
病史回顾:头痛成为6岁的星星(化名)挥之不去的“梦魇”,随之而来的,还有间歇性的左半边上身震颤。检查结果同样不容乐观:两侧丘脑竟长了“橘子”般大的肿瘤,右边甚至更大,尾状核的右头部也被牵连,肿瘤已经导致脑室轻度增大、膈膜水肿等,且肿瘤内部囊肿明显。

手术治疗:体积如此之大的肿瘤,要想精准治疗,首先需要手术减轻肿瘤造成的压迫效应,缓解孩子的症状,同时明确病理以指导下一步的治疗方案。于是,鲁特卡教授先行鼻中隔造瘘术,随后进行左枕脑室-腹腔分流术以缓解水肿状况。术中取得的组织病理为 WHO III 级间变性星形细胞瘤,H3K27M、p53、BRAF V600E突变免疫阴性,MIB-1增殖指数高达40%。
综合治疗:随后,鲁特卡教授为星星制定了周密的综合治疗方案,同时进行累计剂量为 200 mg/m² 连续 12 个周期的替莫唑胺(TMZ)和放射治疗(59.4 Gy)。
预后情况:在确诊后的1年多时间里,星星的放射学表现稳定,症状也得以缓解,在综合治疗后,孩子的生活质量得到显著提升,并有望实现长期生存。
INC 国际小儿神外专家团
国际儿童神外大咖 James T. Rutka教授

教授教授发表超过500多篇高影响力论文,在临床上的研究方向以颅内肿瘤为主,对胶质瘤、纤维瘤、颅咽管瘤、室管膜瘤具有多年的临床经验,擅长清醒开颅术、显微手术和被广泛用于治疗恶性脑瘤和癫痫的国际前沿技术激光间质热疗(LITT)技术经验,对于儿童胶质瘤,尤其是高级别胶质瘤开展多项临床试验,其所在的医院加拿大SickKids是国际知名的儿童医院之一。
国际脑干手术大咖 Helmut Bertalanffy教授

教授擅长颅底、脑干病变、功能区、大脑小脑、脊髓等复杂位置的肿瘤性、血管性疾病的手术治疗,尤其擅长颅底、脑干等复杂区域病变的肿瘤切除术、神经吻合术等,脑干病变成功手术病例近千台,以精湛高超的手术技术不损伤神经功能且全切病变。巴教授历经千万个小时用超精确的物理剥除诠释了医术为何为艺术。
国际儿童神外专家 Concezio Di Rocco教授

自2014年5月起,Di Rocco教授就担任了德国汉诺威国际神经科学研究所(INI)的儿科神经外科主任。从事儿童神外事业50余年,Di Rocco教授尤为擅长小儿神经纤维瘤、癫痫、脑积水、蛛网膜囊肿、颅缝早闭、脑和脊髓肿瘤、脑和脊柱畸形(半椎体畸形,皮质发育不良,脊髓脊膜膨出,脊髓内脂肪瘤,Arnold-Chiari畸形等)难治病症方面的治疗,曾进行过12000多次神经外科手术。


