
胶质瘤首次术后复发的阴霾曾几乎将他吞噬,胶质瘤从二级恶化为三级时,51岁的顾先生毅然选择迎难而上。
不愿承受反复放疗的煎熬,他最终经巴特朗菲教授主刀,成功实现肿瘤全切且无后遗症。这5年来,每一次锻炼,每一次复查时的惊喜,都是他对生命的不辜负。

巴教授术后2年,“从得肿瘤后感觉病人一定要知道真相,并要以积极的心态去面对,才能战胜病魔”、“术后现在身体很好,各项体检都很正常,每天都会坚持锻炼身体,偶尔自己还会喝点小酒。”谈及巴教授的手术,他充满感激。镜头前的他神采奕奕,言谈间尽显从容。
巴教授术后3年,视频中的他身着飘逸的练功服,太极、八段锦、拳法……顾先生样样精通,动作行云流水、干净利落、硬朗有力、风姿卓越,完全看不出脑肿瘤在他身上留下阴影。顾先生表示自己各项体检正常,每天都会坚持锻炼身体,感谢巴教授成功手术的同时,顾先生也感谢自己从患病以来做的决定。
巴教授术后5年,再一次复查,影像显示肿瘤无复发,如常生活与工作。
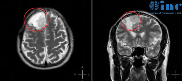
二级胶质瘤术后4年复发恶化成三级巨大肿瘤
人到中年处于事业上升期的顾先生对于身体健康问题十分重视。2014年,顾先生因轻微面瘫查出——右额叶皮层区见椭圆形肿块影大小约4.9cmx3.9cmx6.8cm,提示右侧额叶少突胶质细胞瘤可能。
距离检查出右侧额叶胶质瘤仅不到一个月,顾先生就在当地医院完成了开颅手术。术后病理显示:右额少突胶质细胞瘤,WHO II级。术后顾先生每月复用替莫唑胺、丙戊酸钠片;共服用6个月,顾先生也以为自己就这样轻松摆脱了脑肿瘤。然而距离手术仅过去四年,2018年复查核磁提示复发可能。

原本以为如此简单的脑肿瘤,肯定能全切不复发了,但是看到核磁片子上的阴影,顾先生陷入了怀疑,意识到自己之前可能过于轻视这个看起来“简单”的肿瘤了。再简单的肿瘤想要100%完全切除都会变得不再“简单”。
距离手术才过去四年,复发肿瘤已进展得相当快,顾先生也了解放化疗只是权宜之计,想要从根本上解决复发的肿瘤,避免肿瘤恶化侵犯重要功能区,就必须尽快找到能够为自己有把握做手术的医生。
已经恶化的胶质瘤再次手术真的可以全切吗?
额叶、颞叶、枕叶这些位置的胶质瘤手术想要全切不复发,依然难度不小。浅表层位置胶质瘤通常在血淋的术野下往往和正常脑组织难以区分,即便看着比较简单的手术,想要做到精准切除,肿瘤一分不留、神经组织一丝不伤,术后病人无并发症,生活质量不受影响,对于主刀医生经验技术以及手术中电生理监测要求依旧很高。
巴教授全切肿瘤,无并发症,当天出ICU被转回普通病房,术后两周出院。术后病理报告显示IDH突变、1p/19q表达缺失WHO III级高级别间变性少突胶质细胞瘤(复发)。
首刀过后,不仅肿瘤复发了并且肿瘤级别也恶化,还好顾先生坚持手术,不然如果继续放化疗治疗,肿瘤继续恶化侵犯到功能区,手术难度将会更大,想要做到全切也会更难。

术后病理报告
INC巴特朗菲教授中国行继续,为了尽早获得希望,更多神经外科疾病患者选择与巴教授面对面交流!

案例总结:额叶胶质瘤手术--切除程度与保护功能是关键
额叶是大脑的重要组成部分,约占大脑体积的1/3。额叶后部包括中央前回,控制对侧手脚运动。左侧额下回后份为语言区,控制语言功能。额叶前部调控人类的思维、记忆及情感。额叶深部为基底节与丘脑,与语言、运动及意识觉醒密切相关。
因此,额叶胶质瘤患者可出现头痛、偏瘫、癫痫发作、言语障碍、性格改变及意识水平的改变。切除程度与功能保护是决定额叶胶质瘤手术效果的关键,两者缺一不可。
本来是症状较轻的低级别胶质瘤,首刀没切干净恶化为高级别胶质瘤,顾先生的治疗经历值得警醒,相对于重要功能区,胶质瘤,对额叶、颞叶及枕叶等大脑浅表层胶质瘤的规范化手术治疗往往重视不够。
额、颞、枕叶等低级别胶质瘤,如能做到全切肿瘤,患者将可获得长时间的高质量生存期。而如果因为肿瘤位置简单就掉以轻心的话,一旦胶质瘤恶化侵犯重要功能区,手术全切难度将大大增加,预后结果也不尽如人意。
总之,对于这些位置的胶质瘤手术,应力争实现保证安全下的全切肿瘤!


