“需要做手术进行切除病灶,否则预估寿命仅剩1个月!”
“手术位置特殊,风险极大,稍有差池你可能下不了手术台......”
热爱生活、积极开朗的宋先生怎么也没想到身体一向很健康的自己竟会被确诊患有延髓海绵状血管瘤,比起身体的不适,更让他难以应对的是求医无门,手术和不手术同样会面临着巨大的风险,那么宋先生该如何选择?
宋先生 45岁 脑干延髓海绵状血管瘤
病情阶段
宋先生因突发头痛、行走不稳、看东西有重影,并且四肢麻木持续了一天,遂去医院就诊。
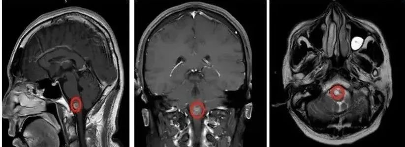
检查结果提示脑干(桥脑下部及延髓)占位性病变,考虑脑海绵状血管瘤伴出血。
首次出血后处理: 因病变位于脑干,手术极难切除,医生建议保守治疗,并预估生存期约1月,可经过20余天住院病情暂时稳定后出院康复。
间隔一月第二次出血: 症状加重,出现显著头晕、乏力、视力模糊、行走倾倒。影像学提示本次脑干出血量更大(>5ml),波及脑桥双侧基底及被盖部,病情危重。面临严重并发症风险,如意识障碍、肺部感染、消化道出血、深静脉血栓等。
治疗困境:医生告知宋先生如果不及时手术切除可能都撑不过1个月。但是,面对这么疑难的脑深部病变,谁也没有把握、不敢轻易做这个手术。

术前影像
希望曙光
“活不过1个月?” 这5个字对热爱生活的宋先生来说无疑是晴天霹雳,“找了好多医生,都叫我保守治疗,本来都很灰心了” 宋先生自述道,但人到了绝境更是要生出勇气来面对。
他开始到处打听,寻找希望,终于如他所愿,宋先生了解到INC国际神经外科医生集团旗下有一位国际脑干手术专家巴特朗菲教授,便立刻联系到了INC,争取到了与巴教授的线上视频咨询的机会。
他如愿得到了巴教授既详细又全面的评估和建议。

INC巴教授远程咨询回复:“患者需要采用特殊入路进行手术,以便从右侧暴露脑干下部的病变。手术的目标是完全去除血肿和血管畸形,风险是进一步的吞咽问题和呼吸问题,最坏的情况可能需要气管切开,但这些风险可以预见也可以避免的,通过理疗和康复治疗,相信患者将会有一个非常好的恢复结果。”
高难度高风险手术,巴教授为他顺利全切

脑干部位手术本就高难度,加上宋先生两次出血,使得病情更加复杂,大多数国内医生表示几乎没有手术机会。
在得到巴教授积极的回复后,让宋先生一家看到了最后的生还希望。很快就确定了入院日期、手术日期,宋先生一家人焦急地等待着手术时刻的到来。
于是在2019年6月,在国内神经外科医生的协同配合下,INC德国巴特朗菲教授主刀为宋先生进行了手术。手术过程十分顺利,脑干延髓海绵状血管瘤最终全切。

术前术后影像对比,第一排为术前,第二排为术后。
术后情况
术后第2天:从ICU转出至普通病房,无新发神经功能损伤。
术后第12天:开始康复治疗。
术后第90天:头痛、行走不稳、复视等症状基本消失。
术后2年:神经功能恢复良好,生活如常,甚至每天都会坚持慢跑5-6公里。

延髓海绵状血管瘤手术挑战与关键技术要点
脑干海绵状血管瘤(CCM)具有不可预测的反复出血倾向,相比其他部位,其再出血率更高,可导致严重神经功能障碍甚至死亡。
手术切除是根治的关键,但因病变深在脑干“生命中枢”(主管呼吸、心跳、意识等),毗邻密集的神经核团与传导束,手术风险极高,极易造成永久性神经功能损伤(如偏瘫、失语、呼吸障碍)。
INC巴特朗菲教授提出脑干海绵状血管瘤的手术原则与核心策略如下:
核心目标
完全切除病灶与最大程度保护正常脑干组织。
个体化精准策略
入路选择:依据病变的精确位置(如桥脑下部、延髓)、形态特点及其与软脑膜/室管膜表面、关键皮质下结构/纤维束的毗邻关系,量身定制手术入路。
安全区切口:优先选择脑干安全区进入,但需认识到“安全区”非绝对安全,需结合其他技术保障。
关键技术支持
术中神经导航:功能磁共振成像和纤维束成像数据,精准规划手术入路、轨迹及实质进入区。
术中神经电生理监测: 尤其对于延髓等关键区CCM,实时监测及刺激定位至关重要,以识别并保护功能结构,需注意个体解剖变异。
精细显微操作
依赖精湛的显微外科技术进行病灶的细致剥离与切除。
对于宋先生这样的延髓海绵状血管瘤患者来说,巴教授也强调术中需特别注意:
- 根据不同的手术部位选择不同的手术入路及手术安全区域;
- 没有绝对的手术安全区域,强调术中电生理检测和术中导航等的重要性;
- 不要超越第十二对颅神经进行操作。
遵循上述原则,结合现代技术,可显著提高手术安全性及全切率,有效改善患者预后与生活质量。
INC国际脑血管专家巴特朗菲教授
INC国际神经外科医生集团旗下世界神经外科顾问团(WANG)成员、世界神经外科联合会(WFNS)教育与技术委员会前主席巴特朗菲教授,作为德国汉诺威国际神经外科研究院血管神经外科主任,擅长大脑半球病变、脑干病变、脑血管疾病、脑内深层区胶质瘤、颅颈交界处的病变等的肿瘤切除术、神经吻合术以及各种椎管内肿瘤等。

同时,巴特朗菲教授收到过来自欧洲、中东、北非以及日本、中国、韩国、新西兰、南非和智利的40个国家的学术邀请,应邀出席了400多场世界各地的学术会议或在神经外科大会作为特邀发言人,对世界神经外科学科做出重大贡献,特别是颅底外科和显微外科血管病变的脑和脊髓治疗。


