
“你是幸运的,因为你能在这个阶段发现这个肿瘤。”33岁的申先生在两个月前的体检中偶然发现颅内占位性病变,医生怀疑是低级别胶质瘤,但申先生的身体并未出现明显的不适。
这个肿瘤如同树枝上还未长大的幼虫,偷偷潜伏着,它是良性、体积不大、还未生长或恶化。于是,有人劝申先生:“要不还是先保守观察吧……”然而,申先生有了自己的抉择。
一个多月后,申先生在家人的陪伴下,前往北京天坛医院接受了开颅手术。
“(手术)应尽快进行。因为在这种情况下,肿瘤不会保持现状。它会逐渐扩张增大,肿瘤越大,手术难度就越高。更关键的是,这类肿瘤可能迟早会发生基因突变,转化为高级别恶性肿瘤。”
身为此次手术的主刀,巴特朗菲教授早在术前评估时就已打下“预防针”,而这番话也成为申先生一家选择手术的原因之一。当幸运之神再一次降临,术后的申先生知道自己这个决定并没有做错。
手术顺利结束,肿瘤得到全切。申先生没有进ICU、术后当天就意识清醒、肢体活动如常。“没有任何坏消息,一切都是好消息!”巴教授对申先生妻子竖起大拇指。

申先生一贯的果敢发挥了大作用,他没有等肿瘤长成难以对抗的“大怪物”,反而及时将它扼杀,才能有惊无险地渡过难关,有望达到理想中的高质量生活……
1体检查出胶质瘤
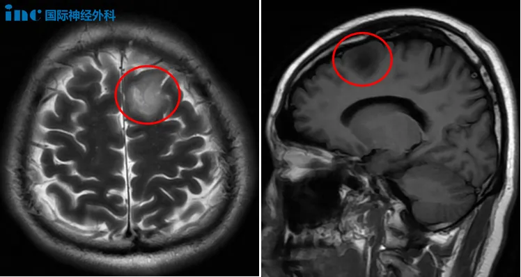
申先生刚过而立之年,有一个幸福的家庭,但这一切却险些被一个偶然打破。一次常规的体检,申先生被告知存在“颅内占位性病变”。可自己的身体一向健康,并没有任何不适。为了确诊,他与妻子一同前往医院,头颅核磁显示,他的左侧额叶确实可以看到一个大小约27×23mm的病灶,考虑为低级别胶质瘤。

两天后,进一步的头颅MRS检查也证实了这一结果。申先生一家顿时陷入泥潭之中,可要想从泥潭中干干净净地出来绝非易事,于是,一家人开始在各种渠道中寻找治疗的方法。
2“我想要术后高质量的生活”
综合了医生和病友的建议,申先生最终决定先咨询巴教授。现在是否需要手术?可以先做活检吗?手术后有哪些并发症?术后多久才能恢复到正常的生活和工作中?这些都成为萦绕在申先生心头的困惑,而巴教授也进行了详细的解答。

术前,巴教授与申先生及其妻子进行谈话
(1)活检存在若干弊端。其一是本身存在风险,可能引发出血;其二活检是诊断程序,通常不足以作出精确诊断。且活检本身并未对肿瘤进行任何治疗。
(2)手术绝对是必要的,若非现在,也应尽快进行。因为在这种情况下,肿瘤不会保持现状。它会逐渐增大,甚至恶化。
(3)全切是我的目标。
(4)手术后在很短的几周内恢复正常生活,这是可能的。当肿瘤完全切除时,复发的可能性非常低。
巴教授的回复给予了申先生一家手术的希望,而另一个让申先生决定手术的重要因素是,申先生的肿瘤所在区域存在一个“辅助运动区”(SMA),负责传达动作指令,如果任由肿瘤增大甚至恶化,手术的难度也将大大增加,术后极易出现运动障碍,而这与申先生的追求背道而驰。
“我想要术后高质量的生活!”为了尽最大努力实现这一目标,申先生最终决定:就现在!必须手术!
3术后“一切都是好消息”
手术如期进行,此次手术由巴教授主刀,并与北京天坛医院神外团队强强联手,一同为申先生切除肿瘤。术中,巴教授发现肿瘤质地与周围正常脑组织几乎一致,很难分辨,但凭借教授丰富的临床经验和技术,在神经导航、神经电生理监测及超声的“保驾护航”下,最终成功将肿瘤全部切除。
从手术室走出,巴教授笑着对申先生家属竖起大拇指,并表示:“没有任何坏消息,一切都是好消息。”术后,申先生无需进ICU,当天便恢复意识,且肢体活动正常,一切都预示着他良好的状态,这也令一旁的妻子放下心来。
此时,难关已过,艳阳笼罩。



