
“你今天感觉怎么样?”病房内,巴教授再次见到了年仅7岁的乐乐。乐乐笑着点点头,有些腼腆地对巴教授打招呼。几天前,乐乐在巴教授来华期间接受了开颅手术,成功切除了小脑中巨大的胶质瘤;术后四天,她站坐都如常,也完全恢复了独立行走的能力,精神昂扬。
孩子的恢复能力如同TA们蓬勃的生命力,时常会创造出令人惊叹的奇迹。手术前的乐乐几乎没有睡过好觉,还总是头晕头痛、精神不振,但在成功摆脱了这个肿瘤后,她终于可以安然入睡,做个香甜的美梦。
病床上,摆着各种玩具和五彩的绘本,桌子上是乐乐亲手搭建的“小超市”,它们共同为这个小女孩编织出了一个童话般的“乐园”,也将见证独属于乐乐的Happy Future。

01。
头晕呕吐
是感冒还是……
乐乐年仅7岁,但自从出生以来,她就很难拥有安稳的睡眠。几乎每天晚上,乐乐都会惊叫起夜,双腿不受控地乱蹬,有时候甚至会突然坐起,再重重倒下。
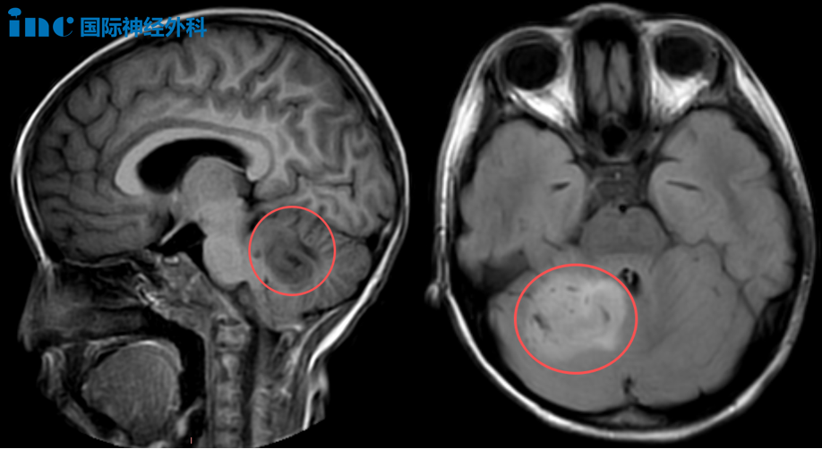
直至今年9月,放学回家的乐乐向父母说起自己白天总是头晕,还提不起力气。隔天晚上,由于乐乐多次呕吐,父母连夜将女儿送至医院就诊,可没想到就此查出了乐乐小脑里的巨大“怪兽”。
第二天,乐乐再次出现呕吐,并仍有头晕恶心的症状,于是医生建议入院治疗,而进一步的检查又一次证实了这个噩耗——乐乐的右侧小脑存在异常信号,考虑为低级别胶质瘤。另外,由于乐乐的抽血化验结果提示为胃肠型感冒,因此乐乐同步开始服药,直至头晕好转。
尽管乐乐的精神有所恢复,但脑袋中的肿瘤却无法通过简单的服药而消失,它始终威胁着女儿脆弱的生命。看着乐乐时不时地头晕,甚至因此而不愿行走,乐乐父母决定不再坐以待毙,他们要为女儿找到更好的治疗!

02。
巴教授给出回复:
“这对我来说并非难事”
小脑半球,是人体运动的"指挥官",掌管着同侧肢体的协调运作,它能确保每一个动作的精准、流畅和平衡。当这个重要区域受损时,往往就会出现典型的共济失调——动作变得笨拙不协调,出现意向性震颤,就连最基本的站立行走都摇摇晃晃。
而在早前的问诊中,就有医生告诉乐乐父母,孩子的肿瘤可能与脑干有些粘连,手术难度大。为了给女儿争取更多的机会,也为了将来女儿能有更好的预后,乐乐父母决定再咨询一下巴教授的建议。
令他们意外的是,巴教授给出了截然不同的回复,也进一步坚定了他们手术的信心。

巴教授:“考虑到病灶体积,手术是必须要做的。即便是低级别肿瘤,也可能随时恶变,我们绝不能给肿瘤恶化的机会。脑干与小脑之间存在连接,尽管该病变部分涉及连接区域,但并未累及脑干本身。对他们而言,切除难度较大,但对我来说并非难事,我能做到。(手术)会在尽可能切除肿瘤的同时,保持患者的神经功能和生活质量。”
03。
手术达到满意切除
爱玩爱笑的女儿又回来了
10月20日,属于乐乐的“冒险”开始了。手术由巴教授主刀,苏州大学附属儿童医院神外团队默契配合,并应用术中导航及术中超声,仔细确认肿瘤边界,最终在术中电生理监测的保驾护航下,手术顺利,肿瘤达到满意切除!病理显示肿瘤为低级别胶质瘤,这无疑让等候在手术室外的家人松了一口气。

术后,巴教授为乐乐父母详细地解释了术中的操作以及术后的情况,“手术十分顺利!”

术后第二天,巴教授来到病房查看乐乐的恢复情况,此时的乐乐正躺在病床上看绘本,一旁的妈妈十分开心地说:“她状态挺好的!”在巴教授的示意下,小女孩的手部活动正常,巴教授也建议父母可以尽早让孩子下床运动。
术后第四天,乐乐完全能够独立行走,也可以用自己的手指准确触摸到鼻子,这表示乐乐的肢体及动作已经如常。再次见到巴教授的她十分开心,笑着向巴教授摆手问好。面前的桌子上还摆放着她正在搭建的“小超市”,小小的病房瞬间被童真塞满。
如今,乐乐已经顺利出院,在人来人往的医院大门,这位爱玩爱笑的小女孩已经不用再回头看,她正大步向前,迈向属于她的Happy Future。
案例来源:2025年巴特朗菲教授于国内手术案例


