孩子的视力严重下降,可能不再是眼睛的问题了,我建议你们抓紧带孩子去神经外科检查检查,以免有更大的问题!
医生一语成谶,3岁的阿康果然是脑子出了问题,而且是大问题:一个不断生长的视神经-下丘脑胶质瘤。一想到儿子还没来得及长大看世界,就面临着很大的失明危险,阿康妈妈在诊室门口泣不成声。
哪怕是早已见惯悲喜的医生,此刻也忍不住先安慰起了这位年轻的母亲:“您先别急,现在还有治疗的机会。”听到医生的话,阿康妈妈努力咽下哽咽,那该怎么治疗呢?
“现在不手术切除肿瘤,随着肿瘤增大,孩子随时可能双目失明。但是,对于这种肿瘤,我们一般会建议放化疗。因为手术风险比较大,难也难在如何安全地切除肿瘤,同时最大程度地保留视神经和功能区不受损伤。要知道,一旦冒险手术,孩子的视力也可能不保。”
然而,阿康妈妈却没有选择听从医生的建议,反而坚决选择了手术,因为她明白,如果现在不切除肿瘤,那么儿子目前仅存的视力也将慢慢丧失……
近视度数飞涨-眼科医生为何连连摆手
3岁的阿康最近总抱怨自己看不清黑板上的字,于是妈妈带着他来到医院进行眼科检查,没想到一听自己说起儿子最近还频繁呕吐,眼科医生皱起眉头,连连摆手:“你可能要带他去神经外科看看了。”
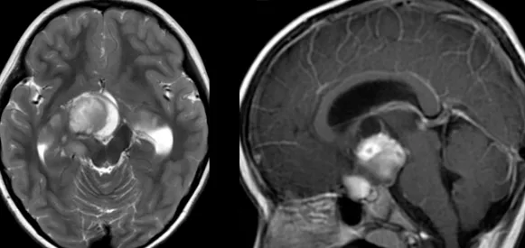
核磁一出,阿康妈妈立刻傻眼。“右侧基底节区及下方占位、鞍区占位”这几个字怎么也看不进自己的脑子,反而令她出了一身冷汗。
由于肿瘤涉及的解剖结构,如视神经、视交叉、视束、丘脑底垂体轴、第三脑室、脑底动脉环等,令阿康出现了视力下降、头痛、呕吐等症状,如果不及时治疗,随之而来的可能还有生长发育异常、认知发育缓慢和心理、行为功能障碍、阻塞性脑积水等……
几天后,由于肿瘤引起的脑积水症状日益加重,阿康妈妈决定先让儿子接受脑室腹腔分流术。但这终究只是“治标不治本”,儿子脑中的肿瘤该怎么办呢?

还是要手术,她的坚持终于凿开黑暗
是该听从医生的意见暂时先放化疗,还是干脆手术切除保护残余视力?阿康妈妈询问过许多人,无论是认识的还是陌生的,最终她决定坚持自己的看法,必须手术!
放化疗虽然可能暂时缓解孩子的症状,但肿瘤太大了,如果现在不手术缓解肿瘤压迫带来的神经损伤,并阻止肿瘤继续生长扩大,那么,以后肿瘤就将继续压迫视神经导致失明,甚至压迫脑干引起瘫痪。到那时,阿康不仅可能随时视力不保,还可能病情恶化危及生命。
于是,为了保险起见,阿康妈妈在术前找到巴教授并仔细询问了手术相关建议。

巴教授认为,这是一个双侧视神经系统下丘脑胶质瘤,并在两个视束内延伸。为尽可能地保全原有视力、解除巨大占位效应,较为合适、有效的治疗方法是手术切除。
同时,为了尽力保全阿康目前的视力,巴教授并不会激进地追求全切。因为如果手术前阿康的视力就已完全丧失,那么表明视神经已经损伤,此时在手术中已经失去保留视神经的价值,自然可能达到全切;但是如果像阿康一样,术前视力尚存,那么为了保护视力,术中那些和视神经黏连紧密的肿瘤就难以切除。
因此,巴教授将保留两侧视束内延伸至丘脑后方的肿瘤部分,以待后期进行放化疗。这样一来,阿康不仅可以保有原本的视力,还能尽快减轻肿瘤的压迫和体积,便于后续的放化疗。
听完巴教授的评估,阿康妈妈决定搏一次。

当手术成功,阿康的世界重现阳光
双侧视神经及下丘脑这一手术区域非常危险,有些神经外科医生可能会选择活检手术切除或者减压性的部分切除,因为全切肿瘤损害视神经-下丘脑神经功能的可能性会大大增大。
因此,针对这次手术,巴教授携国内专业手术团队,强强联合,成功为阿康次全切巨大视路胶质瘤。双侧视神经、下丘脑、脑干区域内肿瘤次全切除,仅神经表面参与小部分肿瘤,术中行神经电生理监测、术中神经导航技术,实现安全切除。

术后,阿康顺利转到普通病房,术后复查MR显示肿瘤得到次全切除,孩子的原有视力得到保留。看到儿子术后恢复良好,无新发神经功能损伤,阿康妈妈十分欣慰。
阿康的病理结果为毛细胞粘液样型星形细胞瘤,这属于WHOⅡ级胶质瘤,也意味着阿康配合术后放化疗可以得到更好的预后。
*案例来源:巴教授2021年于苏州大学附属儿童医院手术


