期盼许久的手术室门终于打开
众多焦急等候的家属
“医生,怎么样,手术成功吗?”
手术很成功
但还需要去ICU观察
家属不禁又担心起来:
为什么手术很成功
却还要进ICU呢?
其实外科医生所说的“手术成功”,通常指的是手术操作,例如:肿瘤成功取出,无神经功能缺损,手术的过程也很顺利。然而实际上,这仅仅只是成功的开始。要保障手术完全成功、病人顺利康复,术前准备、术中操作和术后恢复三个环节都不容有失。ICU就是术后恢复这道环节上的加强保险。
ICU是Intensive Care Unit的简称,即重症监护病房,是医院里提供重症监护和治疗的专科。ICU与普通病房的区别在于,ICU是医院里医护人员和设备较为集中的科室,医护人员根据病情对病人进行24小时不间断的连续监测,并随时处理各种异常状况。
其实,开颅手术患者在术后12-24小时常规入住神经外科重症监护病房(ICU)或亚重症监护病房(medium care unit,MCU),病情稳定后转出至普通病房;目的是尽早监测到严重的术后并发症,如出血、癫痫和水肿等。
总之,医生让患者术后进入ICU,是为了给手术治疗加一道保险,帮助病人平稳地度过危险的围手术期,获得较佳的恢复。
而对于神外手术,每一次开颅都是一次对主刀医生以及整个医疗团队的考验,作为人体功能较为复杂的器官之一,在人的脑袋上手术,可谓曾是“头上动刀,一刀送命”,即便医学进步,仍有许多脑瘤疾病手术挑战较大有生命风险。而对于普通患者来说,在脑袋上开刀动手术,更是的大手术,那这样的大手术大概多久出ICU呢?1天?还是一周?本文精选数十例巴教授手术患者,看看他们多久出ICU,恢复如何?
“我会进ICU待多长时间?”
巴教授:“正常的话就是一晚上。”
秦先生:“一晚上?”
巴教授:“在ICU观察一晚上,二天就可以回到普通病房...”
“只在ICU呆一晚上?”秦先生稍显惊讶。
这一幕,出自INC巴教授2022中国行中随行摄影师的真实记录。镜头对准的,是每一个努力活下去的疑难神经外科疾病患者。
今年已经是INC巴特朗菲教授正式受聘在华进行教学和学术交流活动的5个年头了。讲课带教、参观交流、与国内专家合作手术示范……
“
“在我们站上手术台的那一刻起,我觉得我们今天这个手术只能成功,我们没有任何退路、不能退缩。”
“神经外科手术是一门艺术,作为神经外科医生,我们需像工匠一样,经年累月地训练自己的技能。”
”
手术不仅仅要求能够顺利全切肿瘤,以确定患者的生命顺利不会受到肿瘤威胁,而且还需要较低程度降低开颅手术对患者术后生活的影响,肿瘤切得好,术后恢复好,病人出院快这些在脑瘤患者看来可能是奢求的要求,却是日常贯彻在巴教授每一台手术的宗旨。
而对于脑瘤患者来说,要想获得长期生存和更佳的术后生活质量,顺利手术并不只是局限在手术台上,而是过五关斩六将的艰难过程。手术要争取过这“5大关”
1、能全切(过一关说明尽摆脱了瘤子)
2、能醒得来(过了二关才能睁眼看得见明天)
3、能出ICU(过三关才没有生命风险)
4、能出院(过四关证明可以不靠插管子、不靠药物回家)
5、能生活自理(过五关就是病魔大战完胜、凯旋归来拥抱新生……)
有些可能为了保后四关而牺牲一关,这样就有复发可能、需要再一刀手术或者术后辅助放化疗。如果为了过一关,而牺牲后四关,就为了切瘤子牺牲太多大脑组织。好的手术医者就是需要帮病人在这五大关中平衡、尽他较好医术仁心,把病人从病魔恶战中、鬼门关中给安然无恙带回来、受享新生~
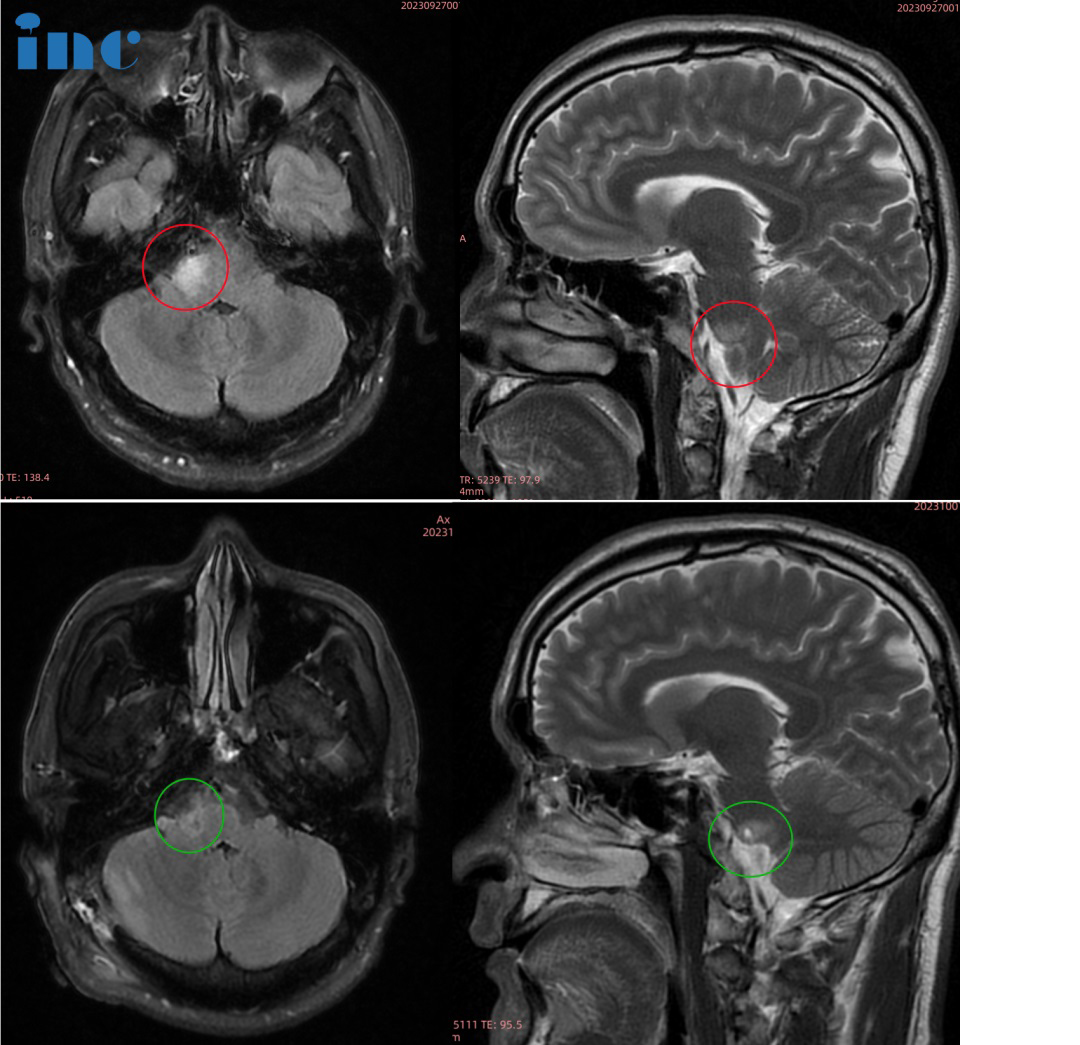
脑干海绵状血管瘤

19岁男孩-延髓海绵状血管瘤
◉手术时间:2022年11月巴教授疑难示范手术期间
“真的很神奇,做的这么干净,做的这么好。关键是恢复的也这么快,1天就出ICU了,而且神志这么清晰。”
——术后10天阿朔爸爸专访
◉患者情况:2022年9月8日19岁的阿朔出现无明显诱因的头痛和晕胀感,从颞侧到枕后。10月10日于苏州独墅湖医院行颅脑核磁提示延髓异常信号,考虑海绵状血管瘤。
◉治疗过程:在2022中德学术交流-INC巴特朗菲教授示范国际疑难脑瘤手术直播,INC旗下的国际神经外科教授德国巴特朗菲教授受邀围绕“脑干海绵状血管瘤的手术”做课程演讲,并进行线上线下延髓手术示范直播。手术顺利全切阿朔延髓海绵状血管瘤,直播观看人次达7000多,除了神经外科医生观看外,还有即将接受教授手术的患者家属共同观看。
◉术后情况:术后1天巴教授ICU查房,阿朔意识清楚、对答如流、四肢活动灵活,随即出ICU;术后5天,可正常站立、行走;术后8天,阿朔状态很好,正逐步回归正常生活。术后一个月,阿朔回到大学校园,回归正常的学习和生活。术后3个月,阿朔还接受了INC专访,交流自己的治疗经历,希望能够帮到更多的人。

30岁男性-脑干海绵状血管瘤
◉手术时间:2022年11月巴教授疑难示范手术期间
◉患者情况:30岁的脑干海绵状血管瘤患者江先生从2016年1月份开始,头晕、行走不稳,重影复视。2016年至2018年4次出血,18年到23年3次出血。轻微的肢体麻木症状。巴教授了解到江先生病史后评估“的治疗就是手术,自己做过许多类似的病例,96%以上都是恢复的好。对于这类病人,一个好的手术是重要的。”
◉治疗过程:2023年11月5日,巴教授为30岁脑干(桥脑)海绵状血管瘤患者江先生成功手术,术后1天转出ICU,状态良好,无新发功能障碍。
◉术后情况:术后一天查房,转出ICU,转入普通病房,恢复状况良好。巴教授查房时用中文询问道“今天感觉怎么样?”“Very very good!”,巴教授逐一检查了江先生的吞咽、面部活动、肢体活动等功能,“没问题”,巴教授为江先生的状态点赞。“Thank you very much!”,江先生及家人都无比感谢巴教授。
脑干延髓胶质瘤

24岁男性-脑干延髓低级别胶质瘤
◉手术日期:2023年6月巴教授疑难示范手术期间
◉患者情况:24岁的川川于2019年中出现无明显诱因的左侧上肢无力,随后伴有头晕头痛症状。进行头颅核磁检查提示:延髓后方结节性病灶。医生建议随诊复查,未做不同治疗。随后症状自行缓解。2023年以来,出现了左侧下肢无力,大约两周后自行缓解。随后出现一过性拖地行走,双眼视力下降,偶有复视。近半年,患者偶有呼吸频率改变,一过性呼气吸气变浅,舌尖麻木。4月份后,患者自感左脚及双侧脸颊麻木、舌尖麻木。2023年5月17日,患者复查MRI提示较前(2020-01-19)轻度增大,倾向良性肿瘤。
◉治疗过程:巴特朗菲教授带领国内神经外科手术团队经过紧张奋战,尽较大的努力切除肿瘤,完全保护延髓神经血管,无任何新发神经功能损伤。
◉术后情况:术后当天ICU巴教授查房,意识清醒、状态良好,对答如流,可以咳嗽、吞咽功能都正常。术后一天顺利转出ICU转入普通病房。川川对巴教授说:"So hungry!"并询问巴教授是否有饮食禁忌。巴教授表示:什么都可以吃,只要你想。术后二天查房:已经下床四处走走。目前川川状态良好,已经逐渐恢复了正常的工作和学习。

33岁男性•脑干-桥臂胶质瘤
◉患者情况:精通多国语言,本该在热爱的领域发光发热的他却查出脑干桥臂位置疑似有一个低级别胶质瘤,大小17mm。由于位置深,手术风险大,医生不建议手术及活检。早在2022年,韩先生由于头晕、右侧脸麻、面瘫查出这个病灶,怀疑脱髓鞘病变。经激素治疗一个月,症状并无好转。无奈持续保守观察至2023年7月,MRI复查提示病灶增大,MRS提示疑似肿瘤指征,考虑低级别胶质瘤。得到这个复查结果后,韩先生内心的希望全部落空了,狠狠地给了他一击。但他并没有被击退,因为他还年轻,还有很多事情需要去做。听闻巴教授9月来华的消息后,选择远程咨询巴教授。
◉治疗过程:9月29日,在苏州独墅湖医院,巴教授顺利为其顺利手术。
◉术后情况:术后1天顺利转出ICU,巴教授查房,韩先生说话正常。术后2天查房,感觉状态很好。术后4天查房,可以下地走路并给教授弹奏一曲表示感谢。
脊髓髓内肿瘤

28岁女性-脊髓髓内室管膜瘤
◉手术日期:2022年11月巴教授疑难示范手术期间
◉患者情况:28岁的潇潇2016年前开始出现肩部至腰部疼痛,2020年潇潇肩部后侧疼痛加剧,于当地医院行磁共振检查,提示髓内占位性病变,保守治疗无效。2021年7月行增强磁共振提示C3水平占位,直径7mm。当地医院排除炎性病变。因考虑到手术风险大,未作手术治疗。2021年10月复查磁共振提示影像较前大致相仿。2022年6月磁共振提示大小约8*12*14mm。2022年10月磁共振提示8*12*19mm。
◉治疗过程:2022年12月4日,苏州独墅湖医院,潇潇的手术顺利进行,巴教授顺利全切潇潇脊髓髓内的肿瘤。
◉术后情况:术后一天ICU查房,潇潇已经清醒,意识清楚,四肢能够正常活动。教授表示等到术后二天潇潇就可以转入普通病房,一些不舒服的症状,例如手麻等都是正常的,不属于术后并发症,后期能够恢复正常状态。

视神经胶质瘤
6岁男孩脑干-延髓毛细胞星形细胞瘤
◉患者情况:6岁的天天2020年出现偶然的吃饭呕吐现象,几个月后由于外伤摔倒就诊当地医院,天天父母带其检查发现颅脑信号异常,进一步行磁共振检查,提示脑干占位性病变。担心肿瘤进展危及孩子生命顺利,当年即在国内行开颅手术,然而肿瘤只切了一部分,术后病理提示毛细胞型星形细胞瘤,没有进行辅助治疗,之后每年进行核磁定期复查。2022年核磁提示肿瘤进展,国内医生建议天天父母带孩子进行化疗,但是想到孩子年幼,化疗可能会产生诸多副作用,天天父母还是决心找到能为孩子顺利手术的医生。
◉治疗情况:2022年巴教授疑难示范手术期间,天天父母争取到巴教授示范手术机会,在苏州大学附属儿童医院,巴教授顺利近全切天天的脑干-延髓毛细胞星形细胞瘤。
◉术后情况:手术结束后一个小时左右苏醒,当天就转到普通病房。术后3天查房,天天恢复良好,交流清晰、肢体抓握能力正常、术后食欲正常,面对前来看望的巴教授,天天亲切叫“巴爷爷”。
听神经瘤

46岁女性-听神经瘤
患者情况:46岁的吴女士自2020年以来,只要中午不午休或疲劳,就会出现头痛欲裂的感觉,较度疲劳时也会呕吐。2013年7月一开始出现耳鸣、失声,持续1月左右。2016年,又出现上眼皮下垂,左侧颈部处有不适感,未做检查。2023年1月,出现左侧嘴角发麻,控制不住流口水,左眼有异物感。2023年7月以来,吴女士症状愈发严重,左侧头皮、脸颊、太阳穴、舌头、嘴角发麻,左侧颈部有沉重感、耳朵疼痛等等。然后前往医院检查才发现左侧听神经瘤。
治疗情况:2023年11月1日,巴教授北京天坛示范手术期间,在天坛医生团队的配合下,成功为吴女士顺利全切听瘤,无新发神经损伤,保听、保面。
术后情况:术后1天,吴女士顺利转出ICU转入了普通病房。“耳朵能听到,脸能做表情,也不麻了,巴教授您的手是神奇的手,奇迹在我身上发生了”,“我的状态nice,今天都想下地走走,还想吃东西”。术后的吴女士听力保住了、没有面瘫,术前的愿望终于得到实现,她忍不住一遍又一遍竖起大拇指给巴教授点赞。
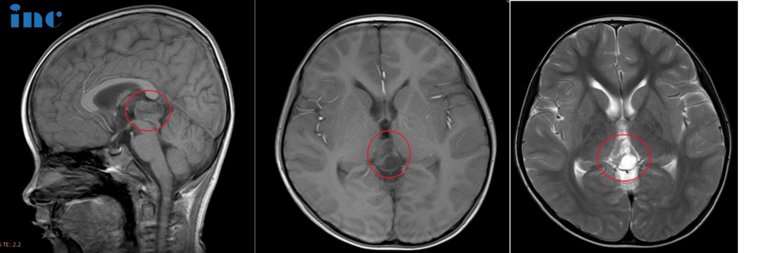
松果体肿瘤

6岁男孩-松果体占位性病变
病史摘要:6岁的鑫鑫,2021年由于意外摔破头皮就诊,CT检查后居然发现松果体区阴影和部分钙化灶,进一步进行MRI见检查后,发现22*14*17mm病灶。鑫鑫父母回想此前孩子确实有身高发育缓慢,腿部量不足以及偶尔走路不稳易绊倒等情况。检查出病灶后鑫鑫进行定期复查,鑫鑫激素检查水平正常,期间病灶有变化。2023年7月MRI结果提示病灶大小:25*19*15mm。国内医生建议尽量手术切除,由于两年期间形态变化不大,也可以继续保守治疗。但是患儿的状态并不太好,睡眠不稳、逻辑理解能力较差、记忆力也出现问题以及系列心理上的问题……
手术过程:北京时间10月31日,巴教授中国疑难示范手术期间,在首都医科大学附属北京天坛医院巴教授顺利为鑫鑫成功顺利全切手术,术后功能无影像。ICU外,巴教授为当天接受示范手术的鑫鑫父母交流孩子的状态。教授开心地说道:“Leg lay is okay,and everything is good.(腿没有问题,孩子状况很好)。”天坛医院的神经外科医生也激动,为鑫鑫点赞:小伙子棒。
术后情况:手术后1天转出ICU转入普通病房,父母告诉巴教授孩子很好,现在能吃饭、能说话、身上也不疼痛。鑫鑫还能捏住巴教授的大手,四肢活动正常,一旁的父母高兴。术后2天查房,鑫鑫用英语说出自己较喜欢的玩具坦克:“Tank!”,身边的爸爸妈妈都笑开了花。
脑膜瘤

41岁女性-CPA区脑膜瘤
病情回顾:41岁的孟女士,因听神经瘤已丧失右耳听力,右侧轻度面瘫,做过了手术后一年她的左边耳朵感觉很闷,还时不时地头疼……医院核磁检查后结果显示“左侧桥小脑三角区脑膜瘤”。国内医生都说手术对听神经、面神经的风险较大,不能确定术后能够保留原有的听力且不面瘫。
治疗过程:在INC合作的无锡二人民医院,INC德国巴特朗菲教授为孟女士进行手术,国内神经外科团队协力配合,加上术中神经电生理监测设备的使用,然后孟女士的脑膜瘤终于得到了全切,听神经和面神经也得到了完好保留。
术后情况:术后二天,孟女士即转入了普通病房,无新发神经功能损伤,无面瘫,原有听力保留,全部术前症状均有所好转,术后十天顺利出院。

术后孟女士麻醉复苏后,巴教授尽快到ICU查房,了解患者听神经、面神经的功能
2024年INC巴特朗菲教授中国之行正在持续进行中,3月底巴教授将开启中国行活动,后续巴教授将继续与国内医生展开学术交流、研讨、临床手术示范教学、与国内患者的面对面咨询持续开展……巴教授作为近年来一直是中德神外交流项目的重要嘉宾,为神外国际学术交流做出了较大的贡献。年年如约的“中国行”之诺,造福了国内疑难脑肿瘤患者,为他们提供更好的治疗选择。
后续2024年INC巴教授来华学术交流及手术示范报道,欢迎继续关注!
对于和以上这些疑难脑肿瘤患者一样就医遇阻、想要寻求来自国际神外教授的患者,不少人都不知道如何开始,怎么能咨询巴教授?咨询可以自己提问吗等问题,INC远程咨询都有规范和标准的流程,具体流程如下,大家可作参考:



