经鼻内镜术后脑脊液漏怎么办?
经鼻内镜手术后,剧烈头痛,检查竟出现了气颅。
气颅?简单来说就是颅内进了气体。
这些气体可积聚于硬膜外、硬膜下、蛛网膜下隙、脑实质内或脑室等不同部位。
究其原因,竟是脑脊液漏所致。
术后脑脊液瘘仍是经鼻颅底入路的常见并发症,尽管目前的重建技术已相当精细。鞍底重建的核心目标在于:①在颅腔与鼻窦腔之间建立稳定且“水密”的屏障;②最大限度保留或恢复鼻窦生理功能。
闭合不严导致的脑脊液漏可导致有症状的气颅和脑膜炎,直接威胁患者生命。
若术中未见脑脊液流出,单纯切除鞍内微腺瘤后通常无需重建;然而对多数鞍上型大腺瘤,尤其膈膜菲薄或瘤体切除过程中出现脑脊液漏者,则必须行鞍底修复。文献已报道多种鞍底重建技术。
INC神经内镜大咖施罗德教授颅底重建分享

INC神经内镜大咖Henry W.S.Schroeder教授(施罗德教授)2020年在论文《Repair of the sellar floor using bioresorbable polydioxanone foils after endoscopic endonasal pituitary surgery》中介绍一种以可吸收聚二氧六环酮(polydioxanone,PDO)薄膜行鞍底闭合的技术。该薄膜被置于硬膜与开放鞍底骨缘之间,既可固定鞍内植入物,又能承受来自颅腔的压力。应用中,可获得满意的鞍底重建,未观察到与技术或材料相关的不良事件。该薄膜在MRI及CT上易于识别,不影响术后影像学评估。

施罗德教授认为该技术操作简便、成本低廉且可靠,脑脊液漏发生率低。当术后脑脊液漏风险较高、且鞍底仍保留足够骨缘可供薄膜固定时,可采用此法行鞍底重建。
这是一例鞍上-鞍旁型大腺瘤
A、B:术前影像。

肿瘤切除后,为了重建鞍底,将PDS箔切割成在所有边缘与骨开口重叠约1-2mm的尺寸。然后将箔以轻微弯曲的方式置于硬膜外腔中鞍底骨边缘的下方。

图:冠状位示意图显示垂体病变切除后的鞍区结构,可见PDS薄膜(聚二氧六环酮膜)被置于骨性鞍底与硬膜之间。图片版权:Jan-Philip Zeden
C、D:术后即刻影像。矢状位T2WI(C)及T1WI(D)示PDS薄膜呈无信号带(箭头)。

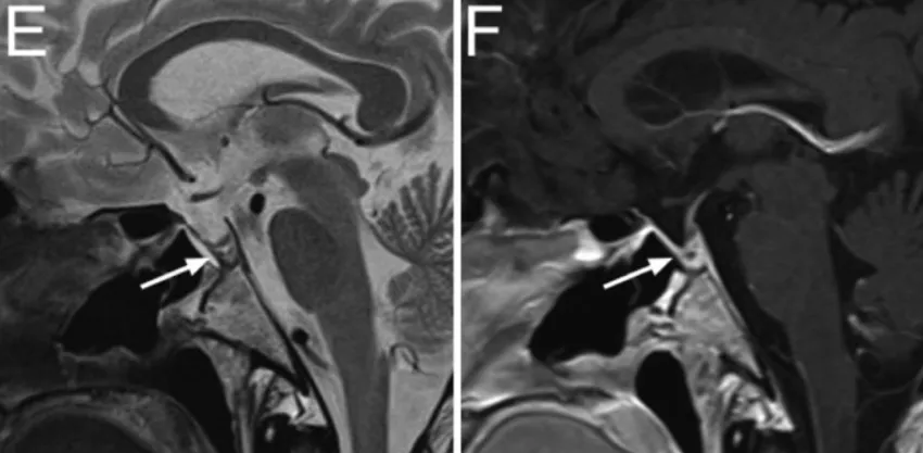
E、F:术后3个月复查矢状位T2WI与T1WI,可见PDS薄膜仍位于原位(箭头)。

案例解读
小小薄膜如何鞍底重建?
鞍底重建方法众多,体现了经鼻垂体术后实现安全、“水密”闭合的重要性。随着内镜技术的普及,仅有少数“硬质”重建方案被系统评估并迁移应用。因此,术后以胶原基质、纤维蛋白胶等材料填充鞍内死腔已成共识;以腹部脂肪填塞蝶窦、或采用鼻中隔黏膜瓣转位覆盖复杂缺损亦属常规技术。
多数作者认为并非所有病例均需重建,但迄今尚无统一标准,仅依据术后脑脊液漏的危险因素决定是否加强修补,包括:
- 较大或复杂病变(如大腺瘤)
- 术中明确脑脊液漏
- 术后颅内压升高
除已知危险因素外,以下观察亦支持采用硬质重建:
文献报道鞍内填塞物脱入蝶窦、鞍隔向病理性空蝶鞍膨出,可致术后视力丧失
药物治疗的泌乳素瘤术后出现视交叉疝入空蝶鞍导致视力受损的病例
可吸收硬质PDS薄膜作为“挡板”固定填塞物。该薄膜:
- 已用作眶壁骨折或鼻背支撑材料
- 兼具可吸收、惰性、稳定、MRI无伪影等优点
- 无需取材自体组织,快速、经济即可获得稳定重建
适用于术后脑脊液漏风险高、且鞍底开窗周缘仍保留足够骨缘以固定薄膜的病例。对大腺瘤尤其适用,因其鞍底常被肿瘤长期压迫变薄甚至缺如,无法提供自体骨片。


