
蓝色框部分是不是看着很像马鞍,鞍区也因此而得名,主要位于颅底的蝶鞍区域。这一区域结构复杂,汇聚了垂体、视神经及视交叉、下丘脑等多个关键结构,是颅底解剖中最为精密和复杂的部位之一。鞍内容纳垂体,前上方紧邻视交叉,后上方则与下丘脑相邻。当鞍区发生肿瘤并向鞍上生长,压迫到视神经或视交叉时,便可能引发视力障碍。
那么,鞍区常见哪些肿瘤类型呢?主要包括垂体瘤、颅咽管瘤、鞍结节脑膜瘤以及脊索瘤等。这些肿瘤在临床表现上具有一定共性,而59岁的安娜所患的,正是一种较为罕见的鞍区肿瘤——垂体细胞瘤。
这个肿瘤不断蚕食着视力,压扁视交叉,挤压重要血管,占据垂体柄及漏斗,术中大出血风险极高。
最终,在INC福教授的定制化手术策略之下,从术前栓塞、入路考量到实施手术,肿瘤被成功切除。垂体柄、视神经得以保留,安娜无任何并发症,预后良好,仅一周时间就顺利出院。
01
视力下降的背后
竟是罕见鞍区肿瘤
安娜,连续三个月来,她的视力不断下降,已明显超过了正常近视的下降水平,于是她来到医院进行检查,这一查就查出了一个大型的鞍区肿瘤——垂体细胞瘤。
垂体细胞瘤是非常罕见的良性神经胶质肿瘤,WHO I级,多位于鞍区或鞍上区域。由于肿瘤常压迫垂体和视神经,因此症状通常由肿瘤生长缓慢的进行性占位效应引起,内分泌异常、视力障碍和头痛是常见的表现,也会导致垂体前叶功能不足,出现闭经、性功能减退、毛发脱落、尿崩症等,一旦压迫下丘脑、第三脑室,就会产生脑积水。
由于垂体细胞瘤的位置关键以及高度血管化的性质,治疗变得十分具有挑战性。
解剖结构复杂:鞍区周围有重要的神经血管结构,且肿瘤通常位于垂体柄前方、上侧由视交叉插入,并被穿孔血管包围,手术操作需要非常精细,避免损伤这些结构。
与周围组织粘连:垂体细胞瘤可能与周围组织(如下丘脑、视交叉、脑干等)紧密粘连,分离时容易导致出血或神经功能损伤。
手术入路选择:根据肿瘤的具体位置和大小,选择合适的手术入路是关键。不同入路各有优缺点,需根据具体情况权衡,才能带来更好的预后。
术后并发症风险:垂体细胞瘤的罕见性使术前诊断十分复杂,通常会导致术中才发现高度血管化病变,这可能造成严重的并发症。包括视神经损伤、内分泌功能紊乱、脑脊液漏、感染等,需要术中和术后严格管理。
因此,关于手术策略的决定必须考虑这些关键因素,包括周围的神经血管结构、潜在的内分泌功能损伤和术中大量出血的风险等。
02
手术面临巨大挑战
福教授如何“定制”策略
安娜的主刀医生是INC福教授,对于鞍区肿瘤极为擅长。与福教授所经手的大部分患者一样,安娜得到了福教授一份“定制化”的手术策略。
手术难点1:肿瘤位置深在,与垂体、视神经粘连严重
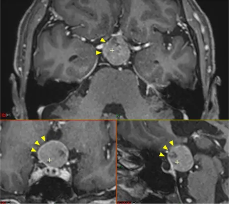
具体分析:MRI显示一个球形病变占据垂体漏斗后部及鞍上间隙,且肿瘤与垂体柄和正常垂体组织紧密相邻(黄色箭头)。

视交叉(绿色箭头)和动眼神经(蓝色箭头)由于受到肿瘤挤压而产生移位,视交叉已经变薄。此外,肿瘤与颈动脉(白色星号)、后交通动脉(红色箭头)、大脑前动脉(白色星号)和大脑后动脉(黄色箭头)紧密粘连,术中剥离困难,存在较大的出血风险。

要求:手术必须要在保留垂体及其功能的基础上进行安全切除,同时不损伤周围重要神经血管,谨慎将肿瘤与其剥离开来。
福教授策略:放弃经鼻内镜入路(EEA),选择经后岩骨入路。选择该入路是因为其脑脊液漏的风险有限,并且能够在颞叶下方提供从后到前、从下到上和从外侧到内侧的手术视野,旨在保留位于病变右侧的垂体柄。此外,手术以患者的预后为主要考量要素,而非追求全切。
手术难点2:肿瘤血供丰富,术中出血难以控制
具体分析:由于已知该肿瘤的血供丰富,福教授在手术前进行了DSA检查,显示其供血动脉主要为左侧垂体上的动脉(黄色箭头)。

要求:切断肿瘤的血供,避免术中出血。
福教授策略:进行术前栓塞确定供血动脉,且对颅底硬脑膜分支血管的近端闭塞对神经缺血的风险较小。栓塞后的血管造影显示肿瘤的供血动脉重建达到90%,线圈在垂体上动脉内可见(黄色箭头)。

03
成功安全切除肿瘤
安娜迎来全新的人生
“为了病人而战!”在福教授的手术理念下,这场与垂体细胞瘤的艰难战役正式开启。在福教授的精细操作下,肿瘤慢慢与周围结构分离,同时,为了保留内分泌功能,福教授并未完全切除肿瘤,而是为了保留关键结构,有意沿着垂体柄和视交叉留下了薄薄的残留物,而这也将为安娜醒来后的生活质量打下稳固的基础。
由于进行了术前栓塞,术中并未出现任何出血及并发症,最终这个棘手的肿瘤被成功切除。安娜的预后良好,并在短短一周后出院,期间没有出现新的神经或内分泌功能障碍。组织病理学证实了垂体细胞瘤的诊断。


04
垂体细胞瘤是什么病?
可以根治吗?
这是一种少见的低级别(WHO 1级)惰性胶质瘤,起源于垂体后叶的垂体细胞,表现为鞍区肿块,常被误认为是垂体腺瘤,没有已知的激素分泌功能。由于肿瘤位置形状的直接影响,垂体细胞瘤会特征性地造成视野和/或内分泌代谢的改变。
垂体细胞瘤属于WHO I级肿瘤,目前的主要治疗方式仍是手术切除。绝大多数肿瘤界限清楚,可完整切除,且预后良好,100%存活,未见复发与转移。少数病例因肿瘤与周围组织的粘连或是血供丰富,易致大量出血,当无法全切时,因部分肿瘤的残留,患者的某些症状不能完全改善,且增加复发的可能性。因此,手术至关重要。


