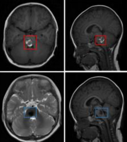
海绵状脑血管瘤是指有众多薄壁血管组成的海绵状异常血管团,即畸形血管团,虽然带了一个“瘤”字,但并不是的肿瘤,看起来有点像爆米花。既然不是肿瘤,那么脑干海绵状血管瘤还严重吗?
海绵状血管瘤导致的脑干出血可致患者死亡
脑干海绵状血管瘤严重吗?INC国际神经外科医生集团旗下组织国际神经外科顾问团成员巴特朗菲教授指出,海绵状血管瘤是比较严重的疾病,因为海绵状血管瘤是一团血管,类似于海绵状,到处都是孔洞,不利于血流的稳定性。在某些诱发因素的情况下,比如外伤、高血压、情绪激动等等情况,有可能出现破裂出血的情况。

海绵纸血管瘤会破裂出血,所以位于脑干位置的脑干海绵状血管瘤是严重的。这是因为脑干是中枢神经系统较重要的生理功能区之一,脑干维持人体的生命,包括心跳、呼吸、消化等重要生理功能。而海绵纸血管瘤会使脑干不断受到压迫,导致出血,如果是轻微的,及时采取措施和治疗还好,若是出现大面积的脑出血,有可能会造成颅内压升高,引起脑疝,就会造成患者的呼吸循环停止,造成死亡,出血多次甚至可能导致直接当场死亡,国内外因脑出血直接死亡的报道不在少数。所以,脑干海绵状血管瘤是很严重的疾病,要及早的发现,并且及早进行相应治疗。
手术治疗风险大,但仍是明智的选择
对于脑干海绵状血管瘤的治疗,手术切除是明智的选择,手术治疗可以完整的切除病灶,治疗更合适。但由于脑干是大脑的重要区域,人体的神经中枢,控制着手、脚、眼、口等的活动,一旦受损就会导致其所支配的躯体相应部位“瘫痪”;脑干左侧,又是优势半球,掌管语言、阅读、认知等功能,一旦受损,患者可能就不会说话、无法阅读。所以脑干部位一直被视为手术的禁区,而脑海绵状血管瘤就刚好处在这个禁区上,不仅威胁大,而且手术难度相当高,所以一个经验丰富的医生和一个好的手术方法重要。
对于脑干海绵状手术方法的选择,国际上普遍采用显微外科手术去达到一个切除的目的。显微外科手术相对传统手术,视野更清晰,传统手术肉眼看不清的细小组织,显微镜下也可清晰看见,还有立体感。而且可以和其他新技术相结合,比如术中iMRI、术中神经导航等高科技复杂仪器,不仅可以对病灶进行实时定位,提供病灶周围及内部的血流情况,而且还可以确定肿瘤切除后残余肿瘤的体积,明确肿瘤的切除程度,再根据切除程度继续手术,大大提高了切除率,甚至全切。
相关文献显示,1998年至2009年,对13例脑干海绵状瘤患者进行了手术切除。平均年龄为42.4岁(从19到70岁),全部病例均采用磁共振成像作为诊断海绵体病的影像学方法,平均随访71.3个月(1 ~ 138个月)。13例患者脑干海绵体切除术后均产生了症状,临床表现为单一脑神经缺损、VIII轻瘫、耳鸣和听力损失(69.2%)。11例患者完全切除,发病率和死亡率分别为15.3和7.6%。

参考文献:Brainstem cavernomas: a surgical challenge
不过此是2009年前的文献,医生水平也有所差别,在当时已经是相当好的结果了。而国际颅底肿瘤手术教授巴特朗菲教授一份关于72名海绵状血管瘤患者研究报告中显示,其在显微外科手术后的72人中,大部分患者没有再出血等其他不良症状,术后生活质量得以明显好转。

参考文献:Tsuji Y, Kar S, Bertalanffy H. Microsurgical Management of Midbrain Cavernous Malformations: Predictors of Outcome and Lesion Classification in 72 Patients[J]. Operative Neurosurgery, 2019.
脑干海绵状血管瘤手术教授巴特朗菲教授
巴特朗菲教授拥有30年的脑干海绵状血管瘤的外科治疗经验,所以擅长脑干、颅底等区域复杂性高的区域的手术治疗。面对海绵状血管瘤的切除,巴特朗菲教授可以从多种入路更好的靠近多区域的肿瘤进行切除,创伤面积更小,患者术后的痛苦也更小,并且可以合适降低感染的风险。术后,37%的患者表现出短暂的(轻微)神经功能缺损,其余超过90%的患者,神经功能与术前持平或好转。
巴特朗菲教授作为INC国际神经外科医生集团旗下组织国际神经外科顾问团(WANG)中的一员,曾受邀来华参与了多场国内高要求的神经外科学术会议,并在国内华西、天坛等医院为国内神经外科患者进行了多场手术,患者术后生活质量均得到了很好的好转,在国内神经外科医生和患者中,都亲切地称呼他“巴教授”。
由于疫情的原因,目前巴特朗菲教授并不能直接来国内为国内胶质瘤、脊索瘤、脑海绵状血管瘤等神经外科咨询,但仍可以通过INC国际远程视频咨询,得到巴特朗菲教授的亲诊。


