鉴于脑干,颅神经根和椎动脉(VA)距离枕骨大孔区位置较近,枕骨大孔区及其周围的脑膜瘤对神经外科医生来说是具有挑战性的。已经提出了几种用于去除枕骨大孔脑膜瘤(FMM)的手术方法,包括标准的中线枕下颅骨开颅手术和高颈椎板切除术。尽管完全切除肿瘤是手术的目标,但保留附着在关键结构上的肿瘤部分更为顺利。 当与神经纤维瘤病(NF)不相关时,多发性脑膜瘤是一种少见的病理。

案例报告
一例45岁的女性,表现出颈部疼痛,四肢感觉异常,并且难以行走1年。她没有头痛,癫痫发作或颅内病理引起的任何其他症状的病史。神经系统检查发现双侧下肢痉挛伴反射亢进。她双手无力。没有皮下结节,色素沉着的黄斑或其他NF的柱头。影像学研究显示,在大孔处仅存在多个脑膜瘤,没有其他提示NF-2的颅内病变。
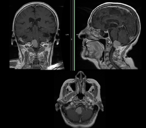
磁共振成像(MRI)显示在椎管两侧的枕骨大孔处有明显的分叶状硬脑瘤,位于脊髓后外侧,严重压迫脊髓。病变间夹有颈髓交界处和上颈髓。对比MRI,病变显示均匀的狂热增强。左VA被包裹在病变内,而右椎骨被邻接。右侧测得的质量为14毫米(颅尾)×12毫米(前后)×8毫米(宽度),左侧为12毫米(颅尾)×11毫米(前后)×7毫米(宽度) [ 图1 ]。诊断为大孔镜面脑膜瘤,并计划切除。患者接受了C-1后弓切除,C-2椎板切除术,大孔减压和病变切除。肿瘤是高度血管性的,在两侧的齿状韧带后都有不同的硬脑膜附着。肿瘤完全在右侧完全切除。但是,在切除左侧肿瘤的内侧部分的过程中,发现其附着在VA上。由于肿块粘附在左VA上,因此以小块的方式进行了手术切除,并关闭了硬脑膜。术后期间平稳,患者症状好转。术后6个月的MRI增强扫描显示,右侧肿瘤完全清除,左侧残余病变较小[ 图2 ]。组织病理学检查发现脑膜瘤性脑膜瘤(WHO 1级)[ 图3 ]。

图1:
术前对比增强磁共振成像(MRI)图像显示明确定义的双侧增强病变。神经被夹在病变之间并被严重压迫(a)轴性:双孔增强的双侧大块病变,(b)矢状位MRI,(c)冠状位MRI,(d)计算机断层血管造影显示病变与椎骨的关系动脉。

图2:
术后对比增强磁共振成像(a)轴向,(b)矢状,(c)冠状位图像显示右侧脑膜瘤完全切除,左侧残留肿瘤。

图3:
组织病理学表明,肿瘤包括圆形到卵圆形的细胞,胞质不清楚,胞浆排列成合胞体和螺旋状,并伴有淋巴瘤。没有发现非典型的有丝分裂或坏死区域。
建议患者进行伽玛刀放射外科手术(GKRS)残余病变,但由于个人经济拮据,无法进行治疗。现在,该患者正在接受常规临床以及影像学检查,以便尽早发现残余颅骨的大小增加或出现新的脊柱病变。
案例讨论
发生在不同神经区室的多个脑膜瘤少见。Konar 等报道了英文文献中一例有关双孔脑膜瘤的病例,该双孔脑膜瘤是由枕骨大孔的腹侧硬脑膜两侧引起的。但是,仅在切除过程中才注意到两个具有不同硬膜附着的单独病变。在他们的病人中,因为肿瘤包裹了右VA,所以通过远外侧的右侧髁突钻孔进行接近。左侧VA明显粘连,左侧病灶给予术后辅助治疗。
对于FMM,没有单一的更佳方法,应根据肿瘤的位置和范围来确定更佳方法,以大水平地降低合并症的发生率。FMM切除术的早期报道描述了标准的枕下颅骨切除术,有无标准技术的变化,包括枕外侧骨切除和/或C-1和C-2椎板切除术。事实证明,这种手术方法足以解决当前病变。然而,由于适当暴露所需的不适当的脑干缩回,前或前外侧病变与手术发病率增加有关。几项研究报道了通过传统的枕后下入路大体切除了前或前外侧FMM。 远侧入路通过提高FMM的手术效率和大水平地降低了发病率,大大扩展了手术设备。对于双侧大孔肿瘤,采用双阶段分期远侧入路可能会损害大孔的稳定性,并可能导致VA损伤。Samii 等颅颈交界处肿瘤与邻近结构(特别是VA)的关系决定了其可切除性,并建议对复发性脑膜瘤应格外谨慎。单侧入路不足以应对对侧肿瘤;因此,在目前的情况下,中线入路是优选的方式来达到两侧肿瘤。对左VA的显着依从性使我们无法在同一坐位完全切除左侧肿瘤。由于右VA远离病变,因此我们能够完全切除右侧病变。
术前影像学检查和神经功能应仔细检查,以建立个性化的治疗策略以好转长期预后。占据颅腔和脊髓腔室的多个脑膜瘤的手术管理存在不同问题。首先要决定要清除哪个病灶,或者要记住组织学上这些肿瘤中的每一个可能是脑膜瘤的不同变体。小型或无症状的肿瘤可能需要连续影像学检查。
FMM是神经肿瘤外科手术中较复杂的疾病之一,由于延髓,下颅神经和VA的附近,需要特别考虑。FMM手术方法的范围需基于硬脑膜附着的要点,并根据具体情况进行个性化定制。无论较终的管理决定如何,都需对此类患者进行密切随访。
在全部颅底病变中,大孔脑膜瘤是较具挑战性的。尽管完全切除肿瘤是手术的目标,但保留附着在关键结构上的肿瘤部分更为顺利,这些关键结构可进行术后辅助治疗。
德国巴特朗菲教授能够顺利切除枕骨大孔区脑膜瘤
INC国际神经外科医生集团旗下组织国际神经外科顾问团(WANG)、国际神经外科联合会(WFNS)教育委员会现任主席、德国汉诺威国际神经科学研究所(INI)神经外科教授和血管神经外科主任巴特朗菲教授能够完全全切(连同病变脑膜和肿瘤基底都切除),不易复发,没有手术造成的神经功能损伤,没有后遗症。
在德国巴特朗菲教授一篇关于枕骨大孔腹外侧脑膜瘤手术切除的论文中很好地证实了显微外科手术切除腹侧及腹外侧大孔脑膜瘤是一种顺利、值得的手术方法。该论文报告了19例经背外侧枕下入路手术的大孔脑膜瘤患者的经验,每一个病例中都实现了肿瘤的完全切除,通过案例术后效果跟踪,巴特朗菲教授强调了这些病变的显微外科手术切除意义包括两个重要方面,一是基于每个患者的显微解剖细节能够有细致和个性化的术前手术方案定制,这使得手术的顺利性和准确度大大提高,二是在过去的5年里,这些病例都没有死亡,也没有神经并发症,这种效果不论是对于医生还是对于患者来说,无疑都是振奋人心的。
论文来源:Microsurgical management of ventral and ventrolateral foramen magnum meningiomas
显微外科手术顺利全切,延长生存期
在处理脑膜瘤病变时,对偶发性脑膜瘤的自然史及其评估性生长因子的了解重要。大多数IDM随着时间的推移保持稳定,因此可以通过密切跟进保守管理。当病变出现症状或持续生长时,建议进行介入治疗。为了达到完全切除的目的,显微外科手术是优选治疗方法。GKRS是一种替代治疗选择,适用于医疗条件差的老年患者。当今神经外科手术技术飞速发展,以高科技显微镜、术中核磁、术中神经导航等多台高科技复杂仪器辅助下的显微外科手术以其微创、顺利性高、准确高效等优势在神经外科领域内备受青睐,而巴特朗菲教授正是这一领域较为擅长的国际颅底肿瘤手术教授。
除了德国巴特朗菲教授,在脑膜瘤显微外科手术上方面,INC旗下美国犹他大学医学院神经外科部门的教授兼主席和国际神经外科学院的主席William T. Couldwell教授也擅长,他一直主攻神经外科脑膜瘤这一个疾病,对脑膜瘤手术有其独特的心得。并且拥有海量的脑膜瘤成功手术切除及良好预后病例,对于岩斜区、后颅窝等复杂高难度位置脑膜瘤,他仍能根据患者实际病情和肿瘤大小,熟练应用各种现代化高科技手术设备,采取个性化的手术入路实现较大水平的顺利手术切除。William T. Couldwell教授因在颅底外科方面的专长而被国际医学界认可,经常应邀作为演讲人并指导颅底外科课程。
资料来源:https://surgicalneurologyint.com/surgicalint-articles/mirror-meningioma-at-foramen-magnum-enigma-in-management-of-a-very-rare-case/


