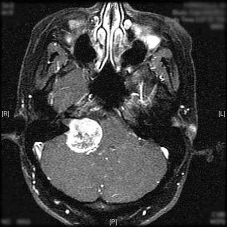
听神经瘤是一种非癌性肿瘤,它有两个“身份”:虽然听神经瘤通常由脑外科医生治疗,但实际上听神经瘤并不是从脑细胞中生长出来的。听神经瘤并不是这种肿瘤的正确名称。一般来说,这是前庭神经鞘瘤,因为肿瘤生长在前庭神经上,前庭神经是连接平衡系统和大脑的导线,位于桥小脑角。

因为这些肿瘤生长缓慢,许多病人没有注意到平衡的丧失。相反,由于听觉神经和平衡神经位置接近,大多数患听神经瘤的人首先会出现听力丧失或耳鸣等症状。他们的一站可能是耳鼻喉科专家。这种双重身份使得听神经瘤的治疗特别。
好转听神经瘤症状管理
当患者和神经外科医生紧密合作时,从诊断到康复,症状管理都会得到好转。挽救病人听力的机会也是如此。这种瘤种需要耳鼻喉(神经病学)、神经外科、神经放射学和放射肿瘤学之间的多学科方法。
听神经瘤的治疗时机
因为听神经瘤是良性的(非癌性的),它们不会扩散到身体的其他部位。它们通常生长得很慢,有时甚至完全不生长。听神经瘤治疗的目标是让患者满意。通常情况下,这个决定只是观察和等待。这个阶段可能会持续几年。然而,如果肿瘤生长或开始影响听力或平衡,治疗可能是必要的。
听神经瘤的治疗
如果需要干预,患者的治疗团队将提供多种选择,从放疗到手术。每个病人都有不同的治疗方案,没有放之四海而皆准的方法。
对于听神经瘤的手术治疗,主要包括传统手术和显微外科手术,传统手术是采用肉眼观察,有较大的限制,一般已经被有实力的医院所摒弃。目前前沿手术是显微外科手术,显微外科手术通过多种技术实现外科手术三维可视化和准确化,应用手术显微镜或辅助其他手术设备可以达到更好的光照条件、更清晰的手术视野及更合适的放大倍数,效果明显优于传统的裸眼手术,这些是显微外科手术的优势所在。
听神经瘤手术切除虽然为优选方式,但是也有其限制之处,在手术切除中,会有较高概率损失面神经和听神经。当患者面神经被损伤,会出现面瘫的现象,而听神经被损伤,则可能长期耳聋。所以目前听神经瘤手术面神经的保存、听力的保存是当前神经外科医生所面临的的较大挑战。
听神经瘤随访治疗
经过治疗,耳鼻喉科团队将在任何必要的康复治疗中起主要作用。这可能包括助听器、植入式助听器、耳蜗植入物、听性脑干植入物或其他用于听力丧失的设备。此外,耳鼻喉科的工作与患者优化平衡和减少头晕症状尽快。
选择一位有经验的听神经瘤外科医生
因为听神经瘤并不常见,所以找一个在这方面有丰富经验的外科医生团队是很重要的。病人应该去做很多这类手术的地方,是应该去看做很多这类手术的外科医生。
由于听神经瘤手术的成功衡量标准,不仅仅是切除率,更重要的是看能否保留病人的听力和面神经。所以一个经验丰富、技术高超的专家是重要的。在国际上,国际颅底肿瘤手术教授巴特朗菲教授、国际神经外科学院(WANS)主席William T. Couldwell教授、国际神经外联合会(WFNS)颅底手术委员会主席Sebastien Froelich教授,都是擅长听神经瘤的治疗,也是享誉国际的神经外科专家。
巴特朗菲教授在显微外科手术三维可视化和准确化下,结合神经导航、神经电生理检测、DTI、术中核磁等多种前沿设备,只要患者之前没有听力损失,对3cm以下的听神经瘤,巴特朗菲教授不仅能做到完整切除,且不损伤听力,不造成面瘫,对于具有较大挑战性的3cm以上听神经瘤,他在完整切除的同时且尽可能地使听力保留,大概率以上的概率不会面瘫。
而William T. Couldwell教授能从多种入路来切除听神经瘤,并根据患者不同情况选择较合适的入路来切除听神经瘤,以确定保留患者的听力和能达到高切除率。经过William T. Couldwell教授的手术,90%的听神经瘤患者都成功保留了功能。
Sebastien Froelich教授不仅擅长显微外科手术切除听神经瘤,而且近年来新兴的神经内镜手术技术也擅长,其发明神经内镜手术“筷子手法”,解决了神经内镜手术需要两人配合的弊端,让神经内镜手术得到了进一步的发展,具有划时代的意义。
国内听神经瘤等神经外科患者,想寻求以上教授的咨询意见,或者想得到他们的亲自手术也是比较容易的。巴特朗菲教授、Sebastien Froelich教授、William T. Couldwell教授都是INC国际神经外科医生集团旗下组织国际神经外科顾问团成员,国内听神经瘤、胶质瘤、脊索瘤等患者,在INC中国上海代表处通过远程国际咨询便能得到他们的咨询意见,想要出国治疗的患者,INC也可以咨询到他们的手术名额。


